- 見た目だけでない心まで輝かせる
セラミック治療 - このようなお悩みをお持ちの方は
一度ご相談ください - 当院のセラミック治療の特徴
- セラミック治療のメリット・デメリット
- セラミックの詰め物・被せ物の主な種類
- お悩み別セラミック治療
- 症例
- セラミック治療の費用
見た目だけでない
心まで輝かせるセラミック治療
近年、虫歯を治療する時など、保険の詰め物・被せ物ではなく、自費のセラミックを選択される方が増えています。
セラミックは、その自然な白さ・透明感から、美しい口元を演出します。近くで見ても、天然歯との違いはほとんど分かりません。またセラミックは、プラークが付着しにくい・経年劣化しにくい・金属アレルギーの心配がないといった機能的な特長も併せ持ち、長く、お口の健康と美しさを守ってくれます。
見た目だけでなく、心まで輝かせるセラミック治療を、ぜひ一度ご検討ください。現在使用している保険の詰め物・被せ物を、セラミックの詰め物・被せ物と取り替えるということも可能です。
このようなお悩みをお持ちの方は一度ご相談ください
- 虫歯になってしまったが、きれいに治したい
- まわりの天然歯と調和した、
自然な見た目の詰め物・被せ物を使いたい - 虫歯や歯周病になりにくい詰め物・被せ物を使いたい
- 歯の色、形、大きさを整えたい
- 保険の白い材料を使っているが、
着色が早い・変色してきた - 前歯の隙間が気になる
- 金属アレルギーがある、
金属アレルギーになりたくない - 保険の銀歯が原因と思われる歯茎の黒ずみがある
- 現在使用している保険の詰め物・被せ物に不満がある
- 虫歯はないが、セラミックで歯を美しくしたい・形や大きさを整えたい
当院のセラミック治療の特徴
ゆたか歯科クリニックでは、より高品質のセラミック治療をお届けすべく、以下のような取り組みを行っています。
丁寧なカウンセリング
初めてセラミック治療を受けるという方でも安心していただけるよう、丁寧なカウンセリングからスタートします。セラミック治療のメリット・デメリット、費用などについて、詳しくご説明いたします。また、お悩み・ご希望を詳しくお聞かせください。
なお、カウンセリングの上、セラミック治療ではなく保険の詰め物・被せ物をお選びになっていただいても構いません。特定の治療を無理におすすめすることはありませんので、ご安心ください。
マイクロスコープを用いた
精密な治療
視野を約20倍にまで拡大できる、マイクロスコープ(歯科用顕微鏡)を導入しております。これにより、支台歯や歯茎との適合の良い、精密なセラミック治療が可能になります。
現在、国内の歯科医院のマイクロスコープ導入率は数%程度ですが、審美性・機能性が長持ちするセラミック治療には必須の設備と当院は考えます。
口腔内スキャナーの導入
による患者様のご負担軽減
口腔内スキャナーとは、機械をお口に挿入し、非接触でのスキャニングによって型取りができる装置です。従来の粘土のような印象材は原則不要であり、患者様のご負担軽減につながっています。
またデータ上で歯型を管理するため、歪んだりする心配はなく、より精密な詰め物・被せ物を作製できます。
信頼の置ける歯科技工士と
連携
歯科技工士にも、得意分野・不得意分野があります。
当院では、セラミックの修復物の作製を専門とする、信頼の置ける歯科技工士と連携しております。
セラミック治療の
メリット・デメリット
メリット
天然歯と見分けがつかないほどの自然な美しさ
セラミックは、保険のレジンにはない、自然な白さ、優れた透明感があります。仕上がりは、天然歯とほとんど見分けがつきません。もちろん、白さの程度は、周囲の歯と合わせて細かく調整ができます。
プラークが付着しにくい・
着色しにくい
セラミックは、保険のレジンや金属と比べて、プラークや汚れが付着しにくい性質を持っています。そのため、虫歯や歯周病のリスクが抑えられます。また、その白さが長期にわたって維持されます。
経年劣化しにくい
保険のレジンは、月日の経過と共に擦り減りが進みます。また保険の金属は、溶け出しによる変形が懸念されます。一方のセラミックは、このような経年劣化が少なく、治療直後の理想的な形が長持ちします。
金属アレルギーの心配がない
セラミック治療では、一切の金属を使用しません。金属アレルギーの方、金属アレルギーになりたくない方も、安心して使用できます。
歯茎の黒ずみが起こらない
保険の金属を使用すると、唾液によって少しずつ溶け出しが起こり、歯茎が黒ずんでしまうことがあります(メタルタトゥー)。セラミック治療では、その心配はありません。また金属からセラミックに交換すれば、その後徐々にではありますが、黒ずみの改善が期待できます。
削る量が少ない
セラミックは割れにくく、現在はあまり多く削ることもありません、むしろ、銀歯は接着しないので、銀歯の維持のために歯を削り足さないといけないのに対して、セラミックはくっ付ければいいので削る量が少なくて済む場合もあります。
デメリット
自費診療であるため費用が高額
保険診療と比べると、患者様の経済的なご負担は大きくなります。ただ、長く使用できることを考えると、コストパフォーマンスの高い治療と言えます。
セラミックの
詰め物・被せ物の主な種類
セラミックインレー
セラミックのみを使って作る詰め物です。
自然な見た目で、支台歯との境目もほとんど分かりません。治療直後の白さが長持ちし、金属アレルギーの心配もありません。
セラミッククラウン
前歯と臼歯(奥歯)に使われるセラミッククラウンは、いずれも歯を覆うタイプの補綴物ですが、使用されるセラミックの種類や重視される特徴、適用部位が異なります。
前歯には、見た目の美しさや自然な色合い、透明感など審美性を重視したセラミックが多く用いられます。これにより、周囲の歯と調和しやすく、自然な仕上がりが得られます。
一方で臼歯(奥歯)は、咀嚼時に強い力がかかるため、耐久性や強度を重視したセラミックが選ばれる傾向があります。これらは割れにくく、しっかり噛める機能性を優先して設計されています。
このように、前歯と奥歯では求められる性能が異なるため、それぞれに適したセラミック素材がを患者様に合わせてご提案させて頂いております。
ラミネートべニア
主に前歯の表面を薄く削り、そこに薄く加工したセラミックを貼り付けます。
被せ物よりも歯を削る量を抑えて(削らずに済むこともあります)、美しい白さを手に入れることが可能です。もちろん、形や大きさも整えますので、自然に仕上がります。金属アレルギーの心配もありません。
長く使用していると、剥がれてしまうことがありますが、再接着が可能です。
お悩み別セラミック治療
歯と歯茎の間が黒い・茶色
なのを治したい
歯科金属、歯周病・虫歯、歯石、飲食物の着色など、さまざまな原因が考えられます。いずれの場合も、当院での治療による改善が可能です。放置して良くなることはありませんので、お早目にご相談ください。
奥歯はセラミックと銀歯
どっちがいいか分からない
結論から言うと、「できればセラミックにしてください」というのが当院の考えです。セラミック治療は、見た目が良いだけでなく、今後の虫歯・歯周病リスクを抑えることにもつながります。また、金属アレルギーの心配もありません。自費治療のため高くなってしまいますが、銀歯よりも長く快適に使用できることを考えると、コスパの高い治療と言えます。どちらにしようか決めかねている段階でも、お気軽にご相談ください。もちろん、セラミック治療を無理におすすめすることはありません。
治療したセラミックが痛い・
しみる・やり直したい
セラミック治療後の痛い・しみるという症状は、一時的なものと、慢性的なものに分けられ、後者では治療が必要になります。まずは原因を調べるため、治療を受けた歯科医院、または当院にご相談ください。セラミック治療後は、トラブルを予防・早期発見するため、毎日を安心して過ごすため、必ずメインテナンスに通いましょう。
症例
Case1
術前


術中

術後


| 治療名 | ダイレクトボンディング・セラミックインレー |
|---|---|
| 治療説明 | 以前他院で行ったハイブリッドセラミックインレーが劣化したためセラミックインレーとダイレクトボンディングで再修復を行いました。 |
| 治療回数・期間 | 2回 |
| 副作用とリスク | 一時的に知覚過敏が生じることがあります。セラミックとレジンが破折し、再修復が必要になる可能性があります。 |
| 料金(税込) | セラミックインレー:77,000円 ダイレクトボンディング:55,000円 合計:132,000円 |
Case2
術前

術中

術後

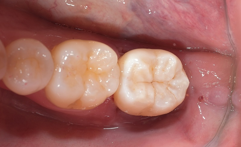
| 治療名 | セラミックインレーによる虫歯の再治療症例 |
|---|---|
| 治療説明 |
過去に治療された銀歯が外れたとのことで来院されました。内部には古い接着剤の劣化と虫歯の再発が見られたため、しっかりと虫歯を除去し、セラミック製の詰め物(インレー)で再修復を行いました。 セラミックインレーは、天然歯に近い色調と自然な透明感を持っており、見た目が気になる部位にも適しています。 |
| 治療回数・期間 | 2回 |
| 副作用とリスク | ・保険診療の銀歯に比べて費用が高くなります。 ・治療直後は一時的に知覚過敏のような症状が出ることがありますが、ほとんどの場合は数日〜1週間程度で落ち着きます。 |
| 料金(税込) | 77,000円 |
Case3
術前


術後


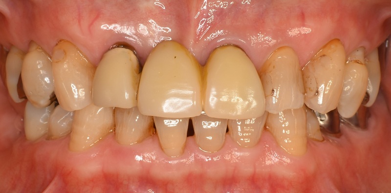
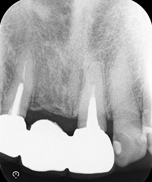
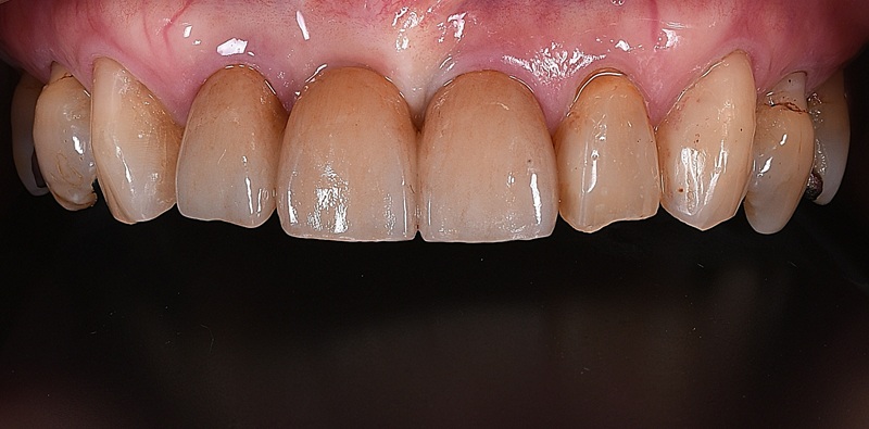
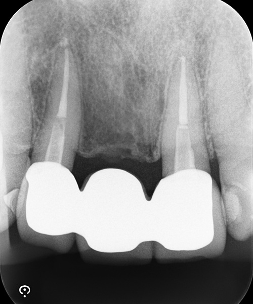
| 治療名 | 精密根管治療と前歯セラミッククラウンによる審美修復症例 |
|---|---|
| 治療説明 |
以前に治療された前歯の被せ物の見た目を気にされ、再治療をご希望されました。 審美性だけでなく、内部の根管治療まで丁寧に行うことで、将来的なトラブルのリスクを抑えた、長期的に安定した治療結果を目指しました。 |
| 治療回数・期間 | 4回 |
| 副作用とリスク | ・保険診療の銀歯と比べて費用が高額になります。 ・根管治療からクラウン装着までを含めると、治療期間が長くなる傾向があります。 |
| 料金(税込) | 精密根管治療:88,000円×2本 セラミッククラウン:132,000円×2本 合計:440,000円(税込) |
Case4
術前


術中

術後


| 治療名 | 前歯のセラミックブリッジと結合組織移植術による審美修復症例 |
|---|---|
| 治療説明 |
古くなった前歯の被せ物の見た目を気にされ、ご相談いただきました。 その後、セラミックのブリッジを装着することで、天然歯のような自然な色味と形態を再現。見た目の美しさだけでなく、清掃性の高い健康的な歯ぐきを獲得することで、長期的な安定を図りました。 |
| 治療回数・期間 | 約3ヶ月 |
| 副作用とリスク | ・保険診療の銀歯に比べて費用が高額になり、治療期間も長くなることがあります。 ・結合組織移植術では、手術に伴う出血や腫れ、疼痛が生じる場合がありますが、多くは一時的です。 ・術後の腫れや違和感は数日〜1週間程度で落ち着くことが一般的です。 |
| 料金(税込) | セラミッククラウンブリッジ:396,000円 結合組織移植術:55,000円 合計:451,000円(税込) |
Case5
術前

ラミネートベニア形成前

ラミネートベニア形成後

ラミネートベニアセット後

| 治療名 | ラミネートベニアと歯冠長延長術による前歯の審美改善症例 |
|---|---|
| 治療説明 |
前歯の「すきっ歯(正中離開)」を改善したいというご希望で来院されました。 ただし、中切歯(真ん中の前歯)は歯ぐきが歯にかぶさっている“受動的萌出不全”の状態で、隙間をそのまま埋めてしまうと不自然に横長な歯になることが予想されました。 歯のバランスと歯ぐきのラインを両方整えることで、自然で美しい前歯の印象に仕上がりました。 |
| 治療回数・期間 | 4ヶ月 |
| 副作用とリスク | ・歯冠長延長術の際に、出血や痛み、軽い腫れを伴うことがあります。 ・仮歯が外れることで、一時的に見た目に影響が出る可能性があります。 ・セラミックは強度が高い反面、過度な衝撃により破折やひび割れが起こることがあります。 ・治療工程によっては期間が長くかかる場合があります。 |
| 料金(税込) | ラミネートベニア:132,000円×2本 歯冠長延長術:110,000円 合計:374,000円(税込) |
Case6
術前

術中

術後

| 治療名 | ダイレクトボンディングによる審美的修復症例 |
|---|---|
| 治療説明 |
根の治療(根管治療)を行った歯に対して、ダイレクトボンディングという方法で修復を行いました。 |
| 治療回数・期間 | 1回 |
| 副作用とリスク | ・保険診療の銀歯に比べて費用が高額になる場合があります。 ・時間の経過とともに着色や変色を生じることがありますが、定期的な研磨やメンテナンスにより、きれいな状態を保つことが可能です。 ・強い噛みしめや食いしばりがある場合、破損のリスクがあります。 |
| 料金(税込) | 55,000円 |
セラミック治療の費用
税込表記です。
| 前歯セラミック | 132,000円 |
|---|---|
| 臼歯セラミック | 110,000円 |
| セラミックインレー | 77,000円 |
| ラミネートべニア | 165,000円 |
| ダイレクト ボンディング |
前歯 77,000円 |
| 臼歯 55,000円 |





