- 前歯一本または二本だけ出ている歯も
矯正できる? - 一本だけ歯並びが悪くなる原因
- 一本だけ出ている歯を自力でなんとか
改善できる!? - 前歯一本または二本だけ出ている場合の治療方法
- 前歯一本または二本の矯正ができない
ケース - 症例
前歯一本または二本だけ
出ている歯も矯正できる?
全体的な歯並び・噛み合わせは悪くないけれど、前歯の1~2本だけ出ている・傾いている・捻じれているといったお悩みがよく聞かれます。お話を詳しく聞いてみると、多くの場合「全顎矯正はできれば避けたい・そこまで時間や費用をかけられない」と仰います。
当院では、そういったお悩みにも、治療期間・費用を抑えた治療をご提案することができますので、まずは一度、ご相談ください。
一本だけ歯並びが悪くなる原因
1本だけであっても、飛び出たり・傾いていたり・捻じれていれば、それは「歯並びの乱れ」と捉えられます。
そしてその原因は、大きく以下の2つに分けられます。
遺伝的要因
顎の大きさ、歯の大きさは、親から子へと遺伝します。そして顎が小さい、歯が大きいといった要因が重なることで、歯がきれいに並ぶスペースが不足し、歯並びが乱れます。
後天的要因
顎はおおよそ15歳くらいまで発達しますが、遺伝だけでその最終的な大きさが決まるわけではありません。噛む回数が少ない・やわらかいものばかり食べる・指しゃぶり・舌を突き出す癖・口呼吸など、さまざまな後天的要因によって、顎が十分に発達しないことがあります。
一本だけ出ている歯を
自力でなんとか改善できる!?
歯は、1本であろうと複数本であろうと、自分で何らかの力を加えることで思い通りに動かすことはできません。お口の健康を損なう可能性が高いため、そのようなことは絶対におやめください。
よく噛むこと、舌の癖を治すこと、口呼吸ではなく鼻呼吸をすることは口腔・身体の健康維持において重要ですが、たとえば大人になってからこれらを意識しても、歯並びが良くなるということはありません。
歯並びを改善する場合には、必ず歯科医院にご相談ください。
前歯一本または二本だけ
出ている場合の治療方法
前歯の1~2本が出ている、あるいは傾いている・捻じれているといった場合、全顎矯正以外であれば、主に以下のような方法で改善が可能です。
ワイヤーによる部分矯正
ワイヤーとブラケットを用いて、前歯の歯並びを改善する方法です。全顎矯正をする場合と比べて装置が小さく、費用が抑えられます。また前歯は奥歯より動かしやすいため、治療期間も短くなります。
マウスピースによる部分矯正
矯正用マウスピースを使って、前歯の歯並びを改善する方法です。マウスピース自体は全歯にかけますが、動かすのは前歯のみとなっており、費用を抑えられます。またワイヤーによる部分矯正と同じ理由で、治療期間の短縮も見込めます。目立たず、痛みが少なく、より快適な部分矯正が可能です。
セラミック矯正
気になる前歯を削りセラミックの被せ物を取り付ける方法です。その歯の形や大きさ、白さを調整できる点が、装置を用いた部分矯正と異なります。また、この中ではもっとも治療期間が短く、費用も抑えられます。ただし、健康な歯を削ることに抵抗がある方にはおすすめしません。
前歯一本または二本の矯正が
できないケース
上記でご紹介した方法では改善ができない・おすすめできないケースもあります。
全体的な歯並びの乱れが
あるケース
患者様が鏡で見て「1~2本だけ、歯並びが乱れている」と感じても、歯科医師から見ると実は多数歯は全体の歯並びが悪かった、ということもあります。後戻りのリスク、長期的な虫歯・歯周病リスクを考慮し、全顎矯正など、他の治療をご提案することがあります。
噛み合わせに問題がある
ケース
治療した部位以外の噛み合わせが乱れている場合、部分的な治療を行っても、後戻りをする可能性が高くなります。この後戻りのリスク、そして長期的なお口の健康を考慮し、治療法を選択しなければなりません。
重度歯周病などがあるケース
装置を使って歯を動かす治療であっても、セラミック矯正であっても、重度歯周病や虫歯があるまま行うことはできません。先に歯周病や虫歯の治療を行い、その上で矯正を検討します。
歯を動かすスペースがない
ケース
飛び出た歯を正しい位置に戻す場合、当然ですがそこにある程度のスペースが必要になります。動かす歯の両サイドを削って収めるという方法もありますが、まったくスペースがない場合など、適応外となり、全顎矯正やセラミック矯正をおすすめすることがあります。
前歯二本の矯正治療の症例
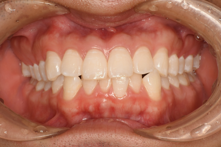
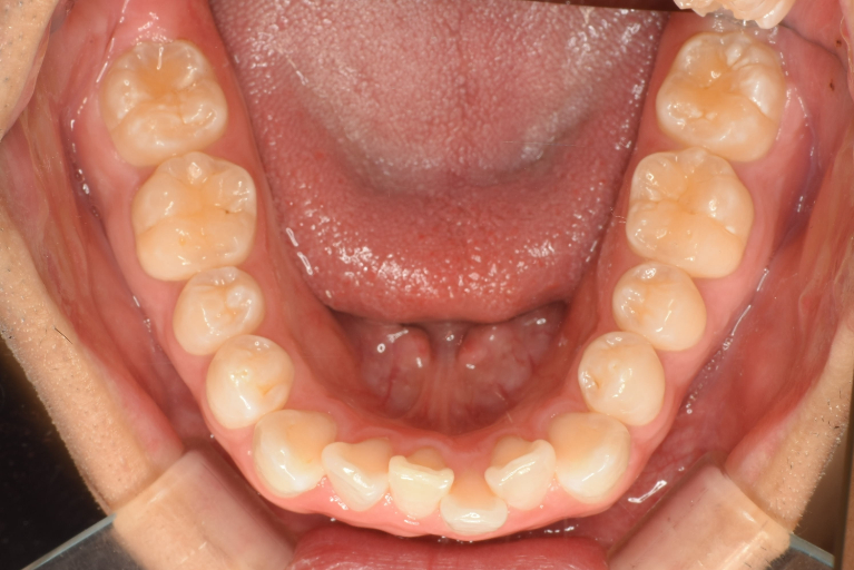
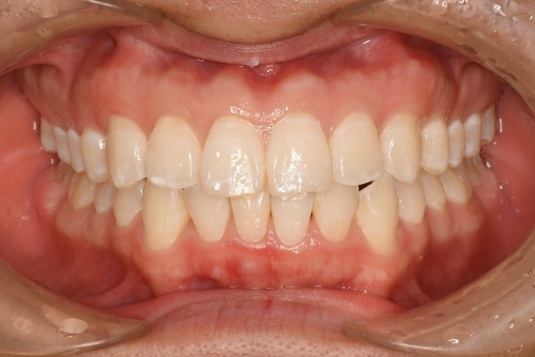
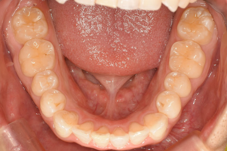
Case1
術前


術後


| 治療名 | インビザライン・ライト |
|---|---|
| 治療説明 | インビザラインを用いたマウスピース矯正により歯並びとかみ合わせの治療を行い、見た目と清掃性を改善しました。 |
| 治療回数・期間 | 4ヶ月 |
| 副作用とリスク | 矯正用マウスピースを20時間/1日装着して頂く必要があります。治療中は歯の移動による痛み、咬合時痛が生じることがあります。矯正治療により歯肉退縮、歯根吸収が起こるおそれがあります。マウスピースの数に限りがあるため適応できない場合があります。 |
| 料金(税込) | 治療計画作成料:55,000円 インビザライン矯正治療費:660,000円 リテーナー:55,000円 総額:770,000円 |
Case2
術前

術中

術後

| 治療名 | インビザライン・ライトによる前歯のガタつき改善症例 |
|---|---|
| 治療説明 | 前歯のガタつき(叢生)をマウスピース型矯正装置「インビザライン・ライト」で改善した症例です。 全体的な咬み合わせには大きな問題がなかったため、短期間で前歯の並びを整えることができました。ワイヤーを使わず、透明なマウスピースで目立たずに治療を行いました。 |
| 治療回数・期間 | 約4ヶ月 |
| 副作用とリスク | ・インビザライン矯正では、1日20時間以上のマウスピース装着が必要です。 ・歯の移動に伴って、痛みや咬合時の違和感が生じることがあります。 ・歯ぐきが下がる(歯肉退縮)や、歯の根が短くなる(歯根吸収)などの可能性があります。 ・使用できるマウスピースの枚数に制限があるため、すべての症例に適応できるわけではありません。 |
| 料金(税込) | 770,000円 |



