- インプラントとは
- インプラントを検討されている方へ
- 当院のインプラントの特徴・当院で
インプラント治療を受けて頂くメリット - インプラントのメリット・デメリット
- インプラントと入れ歯・ブリッジとの
違い - インプラント手術の主な流れ
- 長くインプラントを使用するためには、定期的なメインテナンスが不可欠です
- インプラントの症例
- インプラント治療の費用
インプラントとは
インプラントとは、虫歯や歯周病、事故などで歯を失った後に行われる治療です。
顎の骨に埋め込み、そこにセラミック製の人工歯を取り付けることで、天然歯に近い機能性・審美性を取り戻すことが可能です。
インプラントを
検討されている方へ
現在、インプラント治療を行う歯科医院は数多く存在します。
ただ、インプラントは自費で行う治療であり、歯科医院によってその内容が大きく異なります。
歯科用CTの有無、採用しているインプラントメーカー、ガイデッドサージェリーを使っているかどうか、顎の骨が不足している場合の「骨造成」・退縮した歯茎を改善する「根面被覆術」に対応しているかどうかといったことで、安全性・長期安定性・審美性・機能性が大きく変わってきます。もちろん、歯科医師の経験・技術も大切です。
費用だけでなく、その治療の内容もしっかりと確認し、歯科医院を選ばれることをおすすめします。
このような悩みで悩まれて
いる方は、まずは相談から
- 入れ歯、ブリッジと比較検討したい
- 他の歯科医院のインプラントと何が違うんだろう?
- 本当に強く噛めるようになる?きれいに仕上がる?
- 顎の骨が不足していて、インプラントができないと言われた
- 手術は安全なのかな?
- 歯科用CT、ガイデッドサージェリーはなんで必要なの?
- 万が一インプラントが壊れた時などの保証はあるの?
- 経験豊富な歯科医師に任せたい
- 設備の整った歯科医院で治療を受けたい
多くの方にとって、インプラントは「初めて受ける治療」です。分からないこと、ご不安なこと、たくさんあるかと思います。どのような質問にも、丁寧にお答えしますので、まずはお気軽に当院にご相談ください。
当院のインプラントの特徴・
当院でインプラント治療を
受けて頂くメリット
経験・実績の豊富な
院長による確実性の高い
インプラント治療を提供
手術を伴うインプラント治療の確実性を高めるためには、豊富な経験が欠かせません。
当院院長は、これまで数多くのインプラント治療を行って参りました。そしてその1つひとつの症例に、真摯に向き合ってきました。
国内でも有数の、高品質のインプラント治療を提供していると自負しております。
全国各地で講演・セミナーの
講師を務める
当院院長は、インプラントに関する講演やセミナーの講師を務めております。入賞、論文執筆の実績もございます。
これまで培ってきた知識・技術をより多くの歯科医師へと伝え、1人でも多くの患者様が高品質のインプラント治療を受けられるよう、精進して参ります。
世界最高品質のストローマンインプラントを採用
現在、国内外の多数のメーカーが、インプラントを製造しています。低価格を売りにしたメーカーなどもありますが、当院では世界No.1シェアのストローマンインプラントを採用しています。
生体親和性が高く腐食しにくい純チタンを使用したインプラントは、長期にわたる安定性が世界的に高く評価されています。またその特殊な構造により、治癒期間(顎の骨とくっつくのを待つ機関)も短縮されています。
最長10年間の保証制度を
ご用意
定期的なメインテナンスに通っていただく等の指示をお守りいただければ、万が一破損や脱落した場合に最長10年間の保証制度を適用させていただきます。
詳しい保証内容・条件につきまして、受診された際にご説明させていただきます。
難症例にも対応しております
歯周病、加齢などによって顎の骨が不足している場合には、骨造成という処置が必要になります。当院では、サイナスリフト、ソケットリフト、GBRといった骨造成にも対応いたします。
サイナスリフト
上顎の奥歯を支える骨が不足している場合に行います。歯茎を切開して上顎洞に骨補填材を充填し、骨の高さを確保します。
ソケットリフト
ある程度の骨の量・高さがある場合に行います。上顎洞に骨補填材を充填し、顎の骨の高さを確保します。
GBR
歯茎を切開し、骨の不足部分に自家骨・骨補填材を入れ、特殊な膜で覆い縫合します。骨が形成されやすい環境を作り、その再生を促します。
インプラントができない・
難しいと言われる場合の理由
顎の骨の量が不足している
歯周病、加齢などによって顎の骨が溶けている場合、そのままインプラントを埋入しても、十分な安定性が確保できません。
ただ、歯科医院によっては、サイナスリフト・ソケットリフト・GBRなどによって、骨の量や高さを取り戻すことが可能です。対応していない歯科医院もありますので、ご注意ください。
糖尿病・高血圧などの全身疾患がある
糖尿病、高血圧などの進行の程度によっては、インプラントの手術に危険が伴うと判断されることがあります。
その際は主治医にご相談いただいたうえで、対応させていただきます。
万が一、他院さんでお断りされた方は、一度セカンドオピニオンをご利用ください
歯科医師の経験や知識、設備などによって、歯科医院ごとに対応力には差があります。そのため、ある歯科医院では断られたのに、ある歯科医院ではまったく問題なく治療ができたということがよくあります。
顎の骨の不足、全身疾患などのご理由によって断られた場合も、ぜひ一度、セカンドオピニオンとして当院にご相談ください。
治療期間が短くお身体への
負担の少ない抜歯即時埋入
にも対応
インプラント治療では、抜歯後、歯茎が治癒するまで3ヶ月ほど待ってから、インプラントを埋入する手術を行うのが一般的です。
抜歯即時埋入とは、抜歯したその場で、インプラントを埋入するという方法です。治療期間が短縮され、患者様のご負担も軽減するというメリットがあります。
ただし、顎の骨の状態が一定程度良いことが条件となるため、すべての症例を抜歯即時埋入で対応できるわけではありません。
より確実な埋入をサポート
するガイデッドサージェリー
を採用
ガイデッドサージェリー(サージカルガイド)とは、CTデータをもとに作製する、穴のあいたマウスピースのような形状をした補助装置です。この穴に従ってインプラントを埋入することで、理想的な位置と深さ、角度でインプラントが埋入できます。歯科医師の手だけを頼りに埋入する場合と比べると、確実性が大幅に高まります。
丁寧なカウンセリング
多くの方にとって、インプラントは「初めて受ける治療」です。お悩みやご希望のヒアリングはもちろん、インプラントについて丁寧に、詳しくご説明します。気になることは、何でもお尋ねください。
歯科用CTによる精密な検査
当院では必ず精密検査として、歯科用CTによる撮影を行います。顎の骨の状態、血管・神経の位置を正確に把握することで、手術の安全性が高まります。
CT画像は、インプラントの埋入のシミュレーションにも使用します。
インプラントの
メリット・デメリット
メリット
- 自分の健康な歯のように強く噛める
- 入れ歯、ブリッジでは難しい自然な美しさの口元を取り戻せる
- 入れ歯、ブリッジのようにまわりの歯の健康に悪影響を与えない
- 自分の歯と同じように磨ける
- 適切なメインテナンスで、長期にわたって快適に使用できる
- 入れ歯のような発音への支障はほとんどない
- 好きなものを食べられる
- 顎の骨の吸収を防げる
- よく噛めることで認知症の予防効果も期待できる
デメリット
- 自費診療となるため、費用が高額
- 自費診療であり、手術が必要となるため、歯科医院によって治療の結果に差が出やすい
- インプラントを埋入する手術が必要になる
- 入れ歯、ブリッジと比べると治療期間が長い
- 定期的にメインテナンスに通わないと、インプラント周囲炎・脱落のリスクが高くなる
インプラントと
入れ歯・ブリッジとの違い
「歯を失った場合に行う治療」には、インプラントの他に、入れ歯・ブリッジがあります。
それぞれの治療の主な違いについて、ご説明します。
| インプラント | 入れ歯 | ブリッジ | |
| 保険/自費 | 自費 | 保険または自費 | 保険または自費 |
|---|---|---|---|
| 噛む力 | 自分の歯のように噛める | 弱い(保険) ある程度強く噛める(自費) |
ある程度強く噛める |
| まわりの歯への影響 | なし | 支えてくれる歯の寿命が短くなる | 両隣の歯を大きく削るためその歯の寿命が短くなる |
| 違和感 | なし | 大きい(保険)ある(自費) | 少ない |
| 見た目の美しさ | 天然歯と変わらない美しさ | 良くない(保険)良いものもある(自費) | 入れ歯よりは自然(保険)自然な美しさ(自費) |
| 歯磨き | 天然歯と同様 | 取り外して洗浄する必要がある | 自分の歯のように磨けるが汚れが溜まりやすい |
| 耐用年数 | 平均10~20年 | 数年程度 | 数年程度 |
インプラント手術の主な流れ
1カウンセリング
インプラント治療の内容、流れ、治療期間、費用などについて詳しくご説明します。入れ歯やブリッジといった他の治療と迷っている段階でも、お気軽にご相談ください。
患者様のお悩み・ご希望をお伺いした上で、最適な治療をご提案します。
2検査・診断
虫歯や歯周病の検査、レントゲン検査、CT検査などを行います。CT検査は、顎の骨の状態、血管・神経の位置を正確に把握し、シミュレーションをするために不可欠な検査となります。
診断後、虫歯・歯周病がある場合には、先にその治療を行います。
3治療計画の立案・説明
インプラントの治療計画を立案し、説明します。気になることがあれば、何でもお尋ねください。
内容にご理解・ご同意いただけましたら、一次手術の日程を調整します。
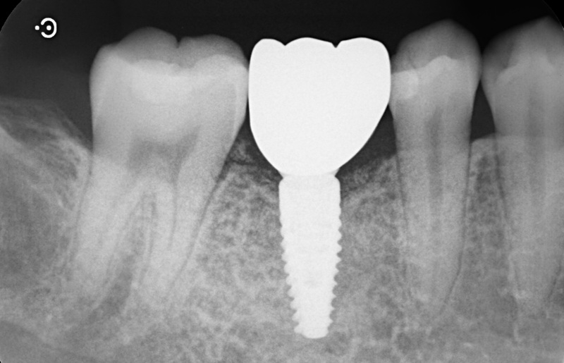
4一次手術
インプラントは、顎の骨に埋め込む人工歯根、アバットメント(連結パーツ)、人工歯(セラミックの被せ物)で構成されます。一次手術では、このうちの人工歯根を、顎の骨へと埋め込みます。
当院では、ガイデッドサージェリーを用いた正確な埋入を行っています。
5治癒期間
人工歯根と顎の骨がくっつくのを待つ期間です。症例によって異なりますが、2~3ヶ月かかります。
外から見えやすい部位の治療の場合、仮歯をお作りします。
6二次手術
歯茎を切開して人工歯根の頭を露出させ、アバットメントを取り付ける手術です。
6被せ物の作製・取り付け
型取りをして、セラミックの被せ物を作製し、取り付けます。
見た目だけでなく、噛み合わせにも十分に配慮した被せ物の設計をいたします。
6定期的なメインテナンス
インプラント治療が終わってからも、定期的にメインテナンスにお越しいただきます。
長くインプラントを
使用するためには、
定期的なメインテナンスが
不可欠です
虫歯や歯周病の治療の後も、治療直後の状態を長持ちさせるため、定期的なメインテナンスが必要です。ただ、インプラント治療後のメインテナンスは、「通っていただく意思がない場合は治療自体をおすすめできない」というほど、重要な意味を持ちます。
メインテナンスの一番の目的は、インプラント周囲炎の予防と早期発見・早期治療です。インプラント周囲炎の発見が遅れた場合には、最悪の場合、インプラントの脱落に至ります。またもちろん、虫歯・歯周病といった他の口腔トラブルの予防、早期発見・早期治療という意味でも、メインテナンスは大切な役割を担っています。
インプラント、そしてお口全体の健康を長く守るため、メインテナンスには必ずお越しくださいますよう、お願いします。
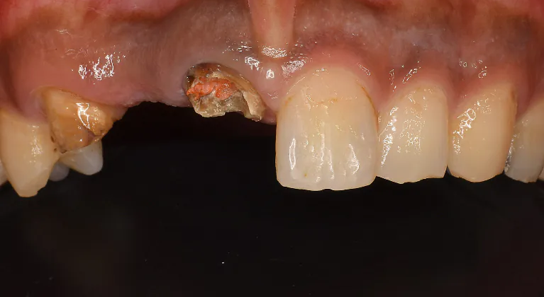
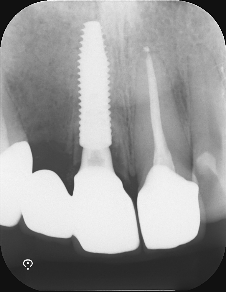
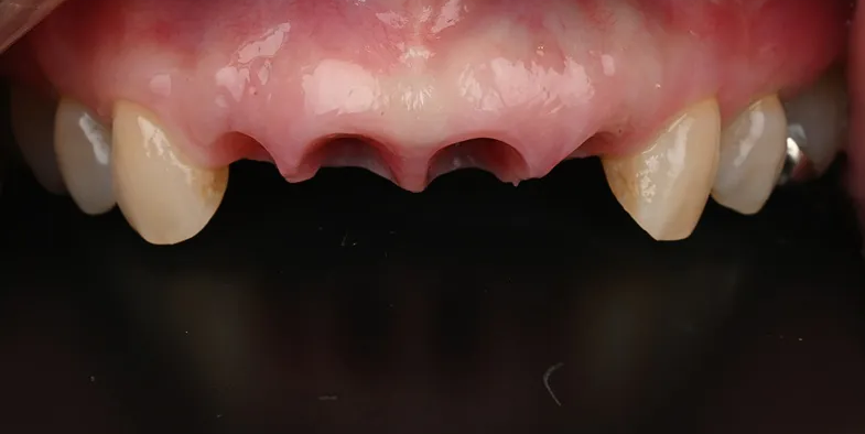
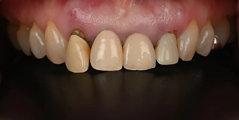
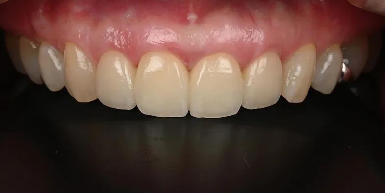
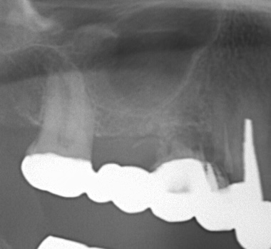
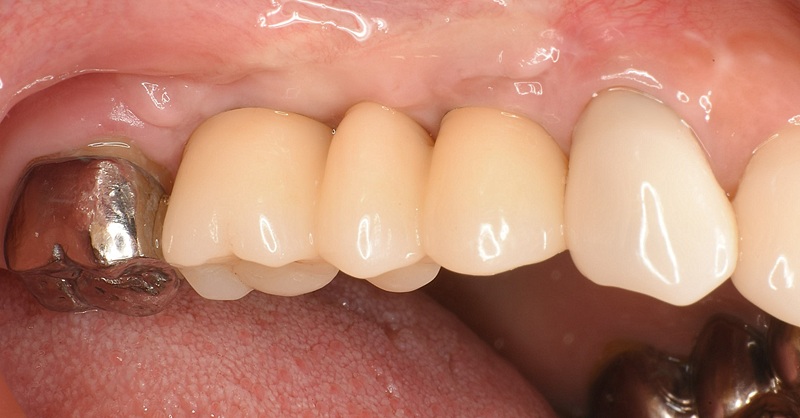
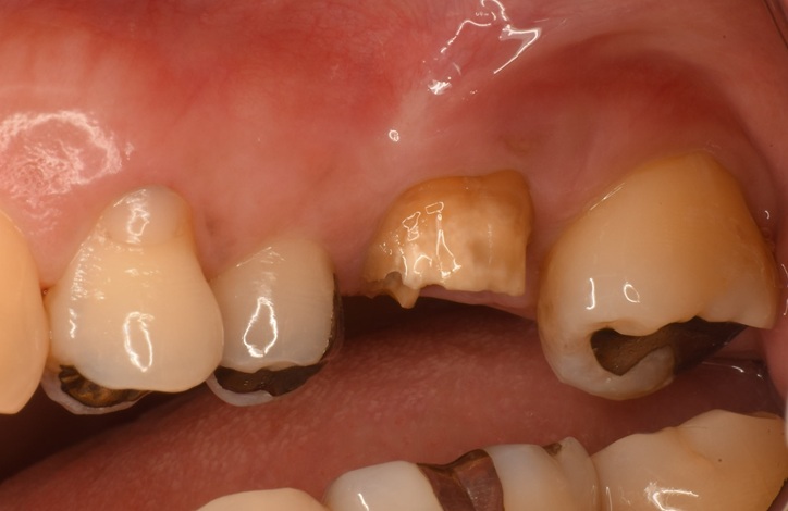
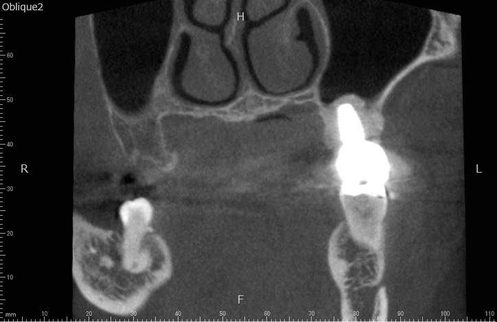
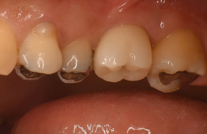
インプラントの症例
Case1
術前




術後



| 治療名 | GBR、インプラント |
|---|---|
| 治療説明 | インプラント埋入予定部位の骨が大きく吸収していたため、まず骨造成処置を行い、6ヶ月の治癒期間を待った後に骨の増生がされていることを確認しインプラントを埋入しました。2ヶ月間インプラントがくっつくのを待って仮歯を作成し、機能的に問題ないことを確認したうえでセラミックの歯を装着し、見た目と機能を回復しました。 |
| 治療回数・期間 | 8ヶ月 |
| 副作用とリスク | 入れ歯やブリッジと比べ治療期間が長くかかることがあります。骨造成が必要な場合はより長くかかります、インプラント手術後は違和感、痛み、腫れ、出血などが発生する場合があります。一時的なもので、2日〜1週間で治まります。 |
| 料金(税込) | 骨造成:330,000円 インプラント1次手術:220,000円(2本:440,000円) インプラント2次手術:55,000円(2本:110,000円) 上部構造:165,000円(2本:330,000円) 合計:1,210,000円 |
Case2
術前


術中

術後


| 治療名 | 右上1、2:前歯インプラント 右上3、左上1:セラミッククラウン |
|---|---|
| 治療説明 | 右上1の歯根破折により抜歯が必要となったため右上1と2の2本にインプラントで歯を補うことを計画しました。右上1に抜歯と同時にインプラントを埋入し、右上2はもともと歯が欠損して歯肉が凹んでいたため、結合組織移植を行い歯肉のボリュームを回復しました。仮歯で歯肉の形を整えてセラミックの歯を装着しました。 |
| 治療回数・期間 | 6ヶ月 |
| 副作用とリスク | 入れ歯やブリッジと比べて治療期間が長くかかることがあります。インプラント手術と結合組織移植は、違和感、痛み、腫れ、出血などが発生する場合があります。一時的なもので、2日〜1週間で治まります。 |
| 料金(税込) | 骨造成:110,000円 インプラント1次手術:220,000円 インプラント2次手術:55,000円 結合組織移植:110,000円 上部構造:220,000円(2本:440,000円 セラミッククラウン:132,000円(2本:264,000円) 合計:1,199,000円 |
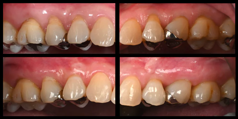
Case3
術前

術中



術後


根面被覆

| 治療名 | 前歯インプラント、根面被覆 |
|---|---|
| 治療説明 | 前歯4本の抜歯が必要となったためインプラントで回復することになりました。右上1,左上1に抜歯と同時にインプラントを埋入しました。右上2、左上2は結合組織移植を行いボリュームを回復することで、見た目と清掃性を向上させました。左右側方歯には根面被覆術を行って歯肉退縮を回復しました。 |
| 治療回数・期間 | 1年 |
| 副作用とリスク | インプラント治療は入れ歯やブリッジと比べて治療期間が長くかかることがあります。インプラント手術と結合組織移植は、違和感、痛み、腫れ、出血などが発生する場合があります。一時的なもので、2日〜1週間で治まります。 |
| 料金(税込) | 骨造成:110,000円(2本:220,000円) インプラント1次手術:220,000円(2本:440,000円) インプラント2次手術:55,000円(2本:110,000円) 結合組織移植:110,000円(4本:440,000円) 上部構造:220,000円(4本:880,000円) 根面被覆:396,000円 合計:2,456,000円 |
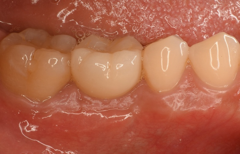
Case4
術前

術中



術後


| 治療名 | GBRとインプラントを行った症例 |
|---|---|
| 治療説明 | インプラントを埋入予定の部位において、骨の吸収が見られたため、インプラント埋入と同時に小規模な骨造成(GBR)を行いました。治癒期間を経て、最終的にセラミックの上部構造を装着し、自然な見た目としっかりとした噛み合わせを回復しました。 |
| 治療回数・期間 | 6ヶ月 |
| 副作用とリスク | インプラント治療は、入れ歯やブリッジに比べて治療期間が長くなる傾向があります。骨造成が必要な場合は、さらに治療期間が延びることがあります。 また、手術後には一時的な違和感や痛み、腫れ、出血などが生じる場合がありますが、通常は2日〜1週間ほどで落ち着きます。 |
| 料金(税込) | GBR〈小規模骨造成〉:110,000円 インプラント一次手術:220,000円 二次手術:55,000円 上部構造〈セラミック〉:165,000円 合計:550,000円 |
Case5
術前




術後




| 治療名 | サイナスリフトを併用したインプラントブリッジ症例 |
|---|---|
| 治療説明 |
奥歯に入っていたブリッジの支台歯にむし歯が見つかり、やむを得ず抜歯となりました。結果として奥歯が3本分欠損したため、患者さんとの相談のうえ、インプラントによる治療を選択しました。 |
| 治療回数・期間 | 約9ヶ月 |
| 副作用とリスク | ・入れ歯や従来のブリッジと比べ、治療期間が長くなる場合があります。 ・骨造成(GBRやサイナスリフト)を伴う場合、さらに治療期間が延びることがあります。 ・インプラント手術後には、一時的に違和感、痛み、腫れ、出血が生じることがありますが、通常は2日〜1週間で落ち着きます。 ・サイナスリフトは、まれに上顎洞への感染リスクがあるため、術後の経過観察が重要です。 |
| 料金(税込) | 小規模GBR:110,000円 サイナスリフト:220,000円 インプラント一次手術×2本:440,000円 二次手術×2本:110,000円 上部構造〈インプラントブリッジ〉:495,000円 合計:1,375,000円 |
Case6
術前

術中


術後


| 治療名 | 抜歯即時インプラントによる審美的回復症例 |
|---|---|
| 治療説明 |
歯の根が割れてしまったことにより、抜歯が必要となった症例です。 インプラント周囲の骨の一部に吸収が見られたため、小規模な骨造成(GBR)を併用しました。 |
| 治療回数・期間 | 約3ヶ月 |
| 副作用とリスク | ・入れ歯や従来のブリッジに比べて治療期間が長くなることがあります。 ・骨造成を伴う場合、さらに期間が延びることがあります。 ・インプラント手術後には一時的に痛み、腫れ、出血、違和感などが生じることがありますが、多くは数日〜1週間程度で治まります。 |
| 料金(税込) | 小規模GBR:110,000円 インプラント一次手術:220,000円 二次手術:55,000円 上部構造〈セラミック〉:165,000円 合計:550,000円 |
Case7
術前


術中

術後


| 治療名 | 抜歯即時インプラントとソケットリフトによる上顎臼歯部の修復症例 |
|---|---|
| 治療説明 |
歯の根が破折していたため抜歯が必要となり、患者さんとご相談のうえ、インプラントによる治療を選択しました。 ただし、インプラントを支える骨の高さが不足していたため、**上顎洞に骨を足す“ソケットリフト”**を併用し、安全にインプラントを埋入しました。 |
| 治療回数・期間 | 約3ヶ月 |
| 副作用とリスク |
・入れ歯や従来のブリッジと比べて、治療期間が長くなる傾向があります。 |
| 料金(税込) | 小規模GBR:110,000円 ソケットリフト:165,000円 インプラント一次手術:220,000円 二次手術:55,000円 上部構造〈セラミック〉:165,000円 合計:715,000円 |
インプラント治療の費用
税込表記です。
| 一次手術 (インプラント体埋入) |
220,000円 | |
|---|---|---|
| 二次手術 | 55,000円 | |
| 上部構造 | 臼歯 | 165,000円 |
| 前歯 | 220,000円 | |
| 合計 | 臼歯合計 | 440,000円 |
| 前歯合計 | 495,000円 | |
| GBR | 小規模 | 110,000円 |
| 大規模 | 165,000円 | |
| 結合組織移植 | 55,000円 | |
| サージカルガイド | 55,000円 | |
| サイナスリフト | 220,000円 | |
| ソケットリフト | 165,000円 | |
インプラント治療の
お支払方法について
現金の他、銀行振込、デンタルローンなどにも対応しております。
医療費控除について
医療費控除とは、1年間に生計を共にするご家族で支払った場合の医療費が10万円を超えた場合に、一定の控除が受けられる制度です。インプラントでかかった費用も医療費控除における医療費として計算できますので、領収書・レシートは大切に保管し、確定申告の際に申請されることをおすすめします。



