- 見えにくい・目立たないマウスピース
矯正(インビザライン) - マウスピース矯正(インビザライン)は
このような方におすすめ - 当院で行うマウスピース矯正
(インビザライン)の特徴 - インビザライン治療はどの歯科医院で
受けても一緒? - マウスピース矯正(インビザライン)の
メリット・デメリット - マウスピース矯正(インビザライン)の
流れ - マウスピース矯正(インビザライン)の
注意点 - 症例
- マウスピース矯正(インビザライン)の
費用
見えにくい・目立たない
マウスピース矯正
(インビザライン)
マウスピース矯正とは、少しずつ形の異なるマウスピースを、1~2週間ごとに取り換えることで歯を動かしていく矯正治療です。
マウスピースは薄く透明であるため、装着時も自然な見た目を維持できます。また、食事・歯磨きの際には取り外します。これにより、食べづらい・歯が磨きづらいということがありません。
マウスピース矯正は、従来からあるワイヤー矯正の欠点であった審美性・快適性の低さを、見事にクリアした矯正装置と言えます。
マウスピース型の矯正装置にはさまざまな種類がありますが、当院では世界No.1シェアの「インビザライン」を採用しております。子どもの矯正(二期治療)、成人矯正において使用します。
当院がマウスピース矯正
(インビザライン)を
採用した理由
金属のワイヤーとブラケットを用いた「ワイヤー矯正」の起源は、1925年に遡ります。Angleによって開発され(エッジワイズ法)、その後ブラケットを歯に巻き付ける構造から歯に接着させる構造へと改良されましたが、それ以外に大きな変化はありません。
一方のインビザラインは、1999年にアメリカのアライン・テクノロジー社によって開発され、以来、その膨大な数の症例をもとにさまざまな進化を遂げ、今なお改良が加えられています。そして、歴史あるワイヤー矯正とほぼ変わらない適応の幅を獲得しています。
インビザラインは、その目立ちにくさ、着脱が可能である点などがフォーカスされますが、最大の特長はその確立された診断システム、およびシミュレーション機能にあると当院は考えます。これにより、無理な動きによって歯が顎の骨の外側に出て歯が揺れる・歯茎が下がる、歯根が吸収されるといったトラブルのリスクが大幅に削減されています。
目立ちにくさ、快適性ももちろん大きなメリットですが、この確実性・安全性が、当院がインビザラインを採用している理由です。
マウスピース矯正
(インビザライン)は
このような方におすすめ
- 歯の動揺・歯肉退縮・歯根吸収といったトラブルなく、確実・安全に歯並びを改善したい
- 目立ちにくい装置で歯並びを改善したい、ワイヤー矯正には抵抗がある
- 治療期間中も食事や歯磨きを快適に行いたい
- 痛みの少ない矯正治療を受けたい
- 治療期間中の虫歯や歯周病のリスクを抑えたい
- 金属アレルギーが心配
- 通院回数はできるだけ少なくしたい
当院で行うマウスピース矯正(インビザライン)の特徴
丁寧なカウンセリングで
患者様の想いをお聞きします
矯正治療は、ほとんどの方が、初めてご経験される治療です。メリットだけでなくデメリットについても詳しくご説明し、また患者様の疑問・不安を一つずつ解消していきます。これまで悩んできた想い、そして理想的な歯並びへの想いをお聞かせください。
CTによる精密な診断が
可能です
歯の根や顎の骨の状態を三次元の立体画像で確認できる、歯科用CTが院内にございます。これにより、より精密な診断が可能になります。他院さんをご紹介してCT検査だけ受けてきていただく、という必要はございません。
iTero、trios5などの口腔内スキャナーを導入
精密な型取りが可能です
iTero、TRIOS5といった口腔内スキャナーの導入により、機械をお口に差し込みスキャンすることで、非接触での精密な型取りが可能です。従来の印象材を使った型取りは原則不要です。
3Dシミュレーションで治療後のイメージを確認できます
スキャン画像、CT画像をもとに、これからどのように歯が動いていくのかをシミュレーションし、3D画像としてご覧いただけます。患者様のモチベーションのアップにも役立ちます。
虫歯治療などの一般歯科や
予防歯科など総合的な
歯科治療に対応いたします
一般歯科、予防歯科、セラミック治療、インプラント治療、ホームホワイトニングなど、幅広い領域に対応しておりますので、お口の総合的な治療が可能です。矯正治療中に虫歯になってしまった時も、すぐにその治療を行い、矯正治療への影響を最小限に抑えます。
インビザライン治療は
どの歯科医院で受けても一緒?
インビザラインとワイヤー矯正では、歯を動かすメカニズムが異なります。
ワイヤー矯正は強い力で多くの歯を同時に動かします。一方のインビザラインは、弱い力で歯を順番に動かします。そのため、装置の特性を理解していない・症例数が少なく臨床経験の少ない歯科医師が担当となれば、ワイヤー矯正でもインビザラインでも、良い結果は得られにくいと考えられます。
インビザラインをご希望の場合には、やはりインビザラインの特性を理解した、症例数が多い歯科医院で治療を受けることをおすすめします。その選択が、効果を最大化し、安全性を確保することにつながります。
当院院長は、インビザライン認定ドクターであり、マウスピース矯正のスタディグループでもより良い治療を行うために研鑽を積んでおります。また当院は一般歯科・インプラント治療・セラミック治療・ホームホワイトニングなどにも対応しておりますので、矯正治療を含めた、お口の総合的な治療を行うことが可能です。
どうぞ、安心してご相談ください。
マウスピース矯正
(インビザライン)の
メリット・デメリット
メリット
- 歯の動揺・歯肉退縮・歯根吸収といったトラブルが起こりにくい
- 装置が目立たず、仕事や学校生活への影響が少ない
- 取り外し可能なため、食事・歯磨きが快適
- 事前にシミュレーション画像で治療後の歯並びを確認できる
- ワイヤー矯正と比べて痛みが少ない
- 治療期間中の虫歯・歯周病リスクが抑えられる
- 金属アレルギーの心配がない
- ワイヤー矯正と比べて、通院回数が少ない
デメリット
- 自費診療となるため、費用が高額
- 自費診療であり、手術が必要となるため、歯科医院によって治療の結果に差が出やすい
- インプラントを埋入する手術が必要になる
- 入れ歯、ブリッジと比べると治療期間が長い
- 定期的にメインテナンスに通わないと、インプラント周囲炎・脱落のリスクが高くなる
マウスピース矯正
(インビザライン)の流れ
1カウンセリング
お悩み・ご希望をお伺いし、インビザラインについての詳しいご説明を行います。疑問・ご不安な点がございましたら、何でもお尋ねください。
2検査
iTeroによる型取り、CT検査、虫歯・歯周病の検査などを行います。虫歯・歯周病が見つかった場合には、先にその治療を行います。
3治療計画の説明・3Dシミュレーションの確認
カウンセリング・検査結果をもとに、治療計画を立案し、ご説明します。また、3Dのシミュレーション画像をご覧いただきます。
内容・料金にご理解・ご納得いただけましたら、同意文書へのご署名を頂戴し、インビザラインを発注します。
4治療開始
インビザラインが当院に到着次第、着脱の練習、ご自宅での管理方法・注意点の説明などを行い、治療を開始します。マウスピースは複数個お渡ししますので、1~2週間ごとに、新しいものへと交換してください。
5定期的な通院
1.5~2ヶ月に1回、ご来院いただきます。歯並びの状態やマウスピースの使用状況の確認、虫歯・歯周病のチェック、クリーニングなどを行います。またご来院の際、新しいマウスピースを複数個お渡しします。
6治療の終了・保定期間へ
目標にしていた歯並びになれば、治療は終了です。その後、保定期間へと入ります。マウスピース型の保定装置を使用していただき、後戻りを防ぎます。使い方は、インビザラインとほとんど一緒です。
保定期間も定期的にご来院いただき、後戻り・虫歯・歯周棒のチェック、クリーニングなどを行います。
マウスピース矯正
(インビザライン)の注意点
適応外となる症例もある
改良を重ね、インビザラインはワイヤー矯正とほとんど変わらない適応症の幅を獲得しています。しかし、骨格に問題があるようなケースなど、一部の症例は適応外となってしまうことがあります。
1日20時間以上の装着が必須
食事、歯磨き以外の時間は基本的に着けっぱなしです。20時間を下回ると、歯が予定通りに動かない・治療期間が延びるといったことがあるため、ご注意ください。結婚式・面接試験など、何らかのご理由によって数時間外したいという場合には、事前にご相談ください。
装着中に口にできるのは
基本的に水のみ
水のみ、装着中に口にしていただけます。それ以外の食べ物・飲み物は、着色などの原因となるためお控えください。特に糖分が含まれるものは、マウスピースの隙間に溜まり、虫歯の原因となりますので厳禁です。また、温度が高いものはマウスピースが変形する原因となるため、避けてください。
定期的な通院をお願いします
歯を計画通りに動かすため、後戻りを防ぐため、治療期間・保定期間とも、定期的な通院をお願いします。治療の効果を最大化し、すべての方にご満足いただきたいと考えておりますので、ご協力をお願いします。
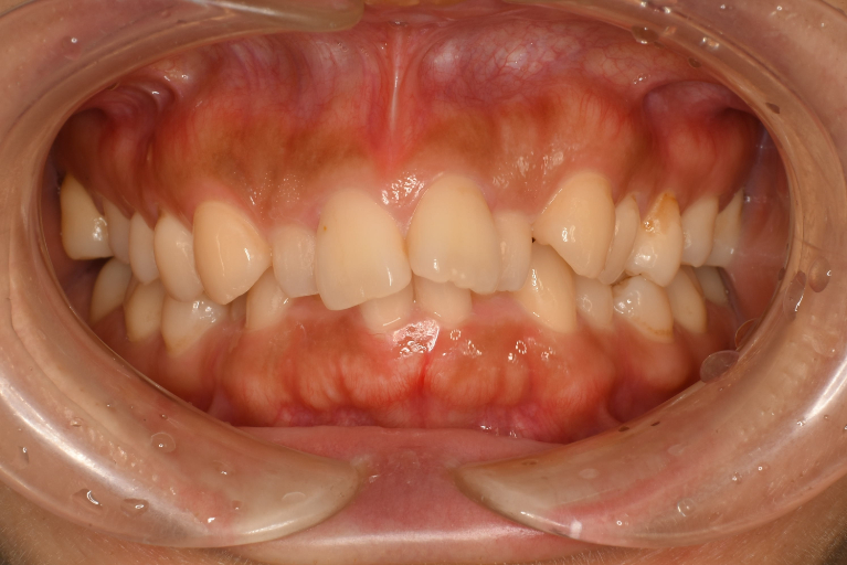
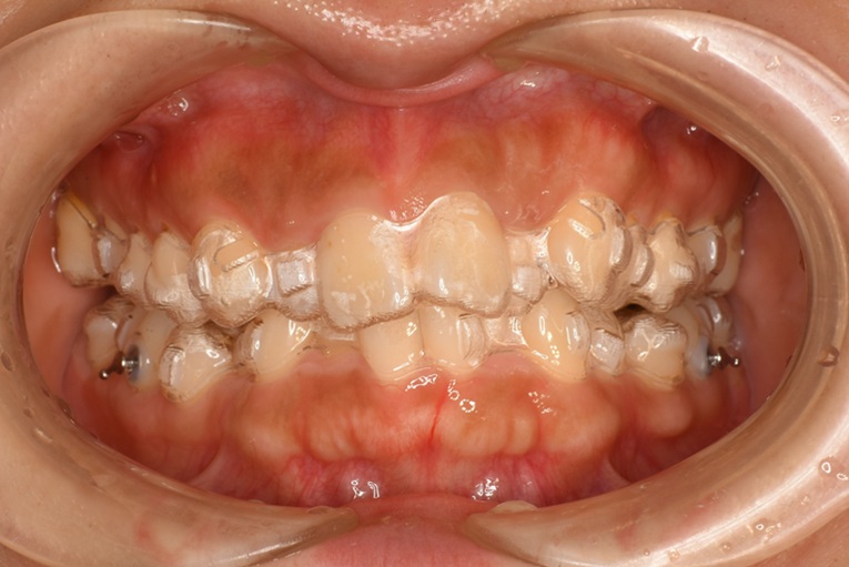
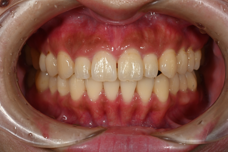
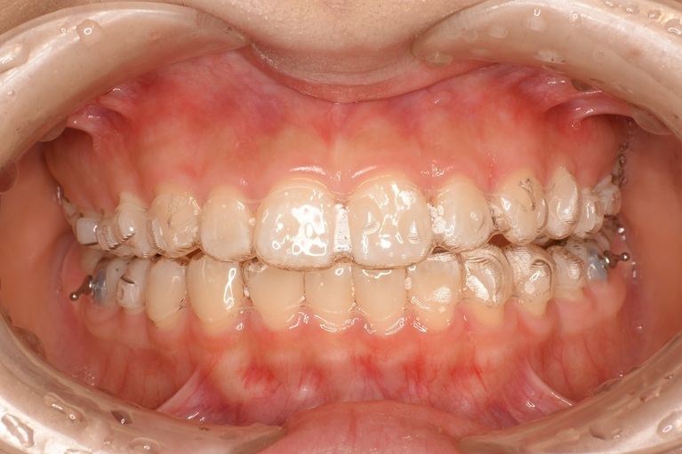
症例
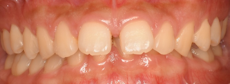
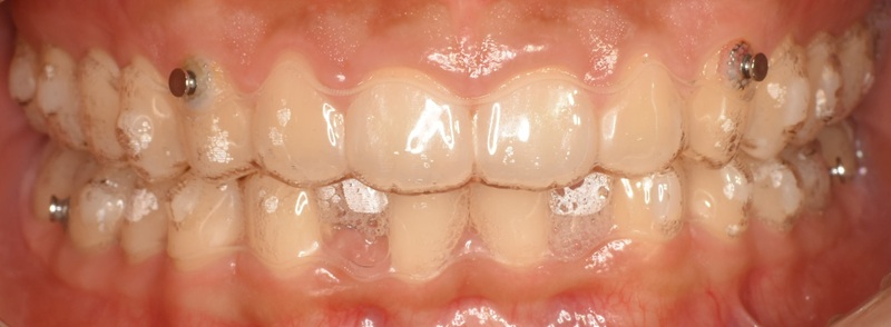
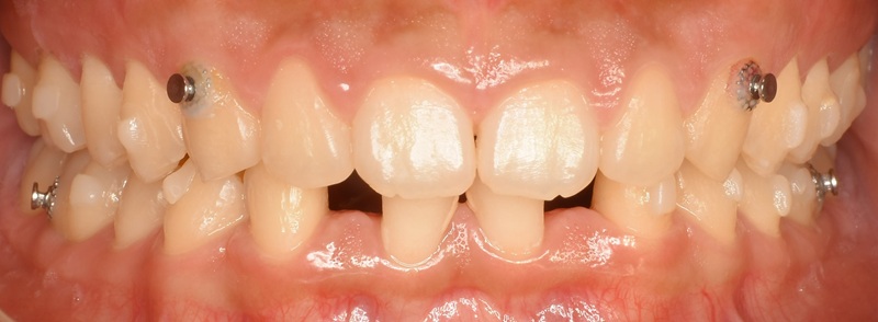
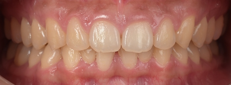
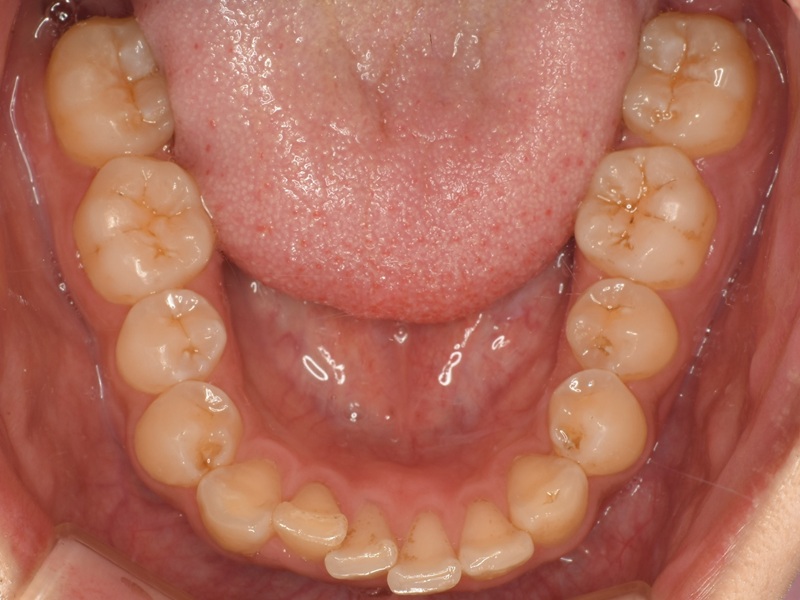
Case1
術前

術中

術後

| 治療名 | マウスピース矯正(インビザライン) |
|---|---|
| 治療説明 | インビザラインを用いたマウスピース矯正により歯並びとかみ合わせの治療を行い、見た目と清掃性を改善しました。 |
| 治療回数・期間 | 2年7ヶ月 |
| 副作用とリスク | 矯正用マウスピースを20時間/1日装着して頂く必要があります。治療中は歯の移動による痛み、咬合時痛が生じることがあります。矯正治療により歯肉退縮、歯根吸収が起こるおそれがあります。ワイヤー矯正を併用する可能性があります。 |
| 料金(税込) | 治療計画作成料:55,000円 インビザライン矯正治療費:990,000円 リテーナー:55,000円 総額:1,100,000円 |
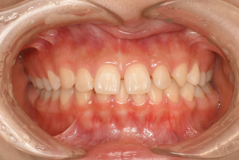
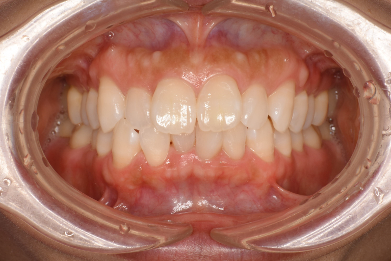
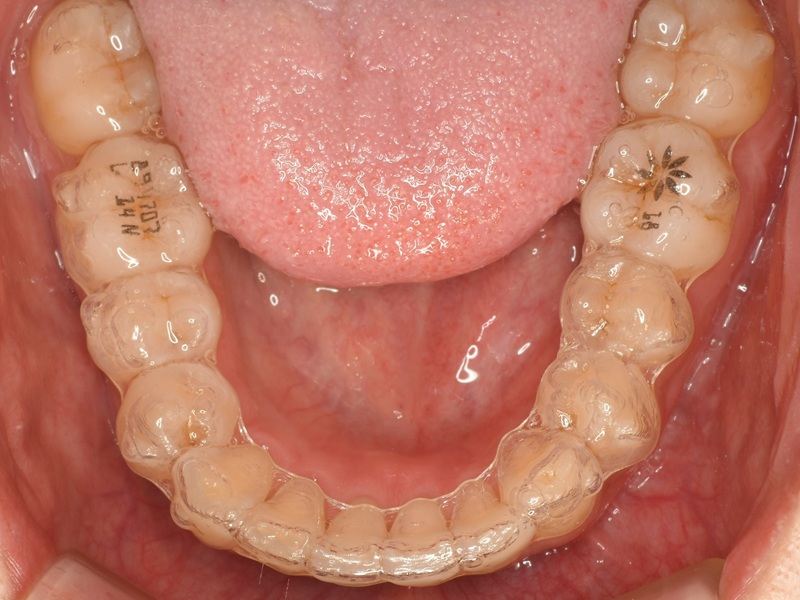
Case2
術前

術中

術後

| 治療名 | マウスピース矯正(インビザライン) |
|---|---|
| 治療説明 | インビザラインを用いたマウスピース矯正により歯並びとかみ合わせの治療を行い、見た目と清掃性を改善しました。 |
| 治療回数・期間 | 1年4ヶ月 |
| 副作用とリスク | 矯正用マウスピースを20時間/1日装着して頂く必要があります。治療中は歯の移動による痛み、咬合時痛が生じることがあります。矯正治療により歯肉退縮、歯根吸収が起こるおそれがあります。ワイヤー矯正を併用する可能性があります。 |
| 料金(税込) | 治療計画作成料:55,000円 インビザライン矯正治療費:990,000円 リテーナー:55,000円 総額:1,100,000円 |
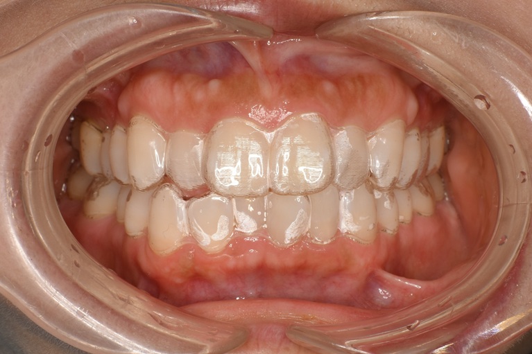
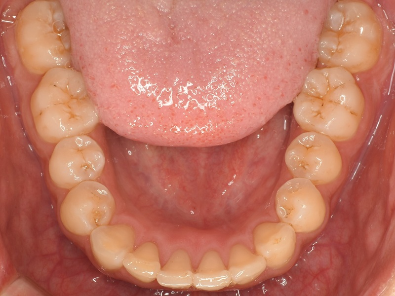
Case3
術前

術中

術後

| 治療名 | マウスピース矯正(インビザライン) |
|---|---|
| 治療説明 | インビザラインを用いたマウスピース矯正により歯並びとかみ合わせの治療を行い、見た目と清掃性を改善しました。 |
| 治療回数・期間 | 1年2ヶ月 |
| 副作用とリスク | 矯正用マウスピースを20時間/1日装着して頂く必要があります。治療中は歯の移動による痛み、咬合時痛が生じることがあります。矯正治療により歯肉退縮、歯根吸収が起こるおそれがあります。ワイヤー矯正を併用する可能性があります。 |
| 料金(税込) | 治療計画作成料:55,000円 インビザライン矯正治療費:990,000円 リテーナー:55,000円 総額:1,100,000円 |
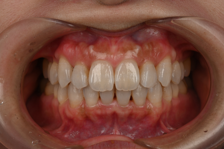
Case4
術前

術中


術後

| 治療名 | インビザラインと接着性セラミックブリッジによる治療症例 |
|---|---|
| 治療説明 |
過蓋咬合(かがいこうごう:かみ合わせが深すぎる状態)が原因で上の前歯に正中離開(前歯のすき間)が見られました。 さらに、下の前歯には先天的な欠損があったため、隣の歯をほとんど削ることなく接着性セラミックブリッジを使用して補い、見た目と機能の両面でバランスの取れた仕上がりを目指しました。 |
| 治療回数・期間 | 約1年9ヶ月 |
| 副作用とリスク | ・インビザライン矯正では、1日20時間以上のマウスピース装着が必要です。 ・歯の移動に伴って、痛みや咬合時の違和感が生じることがあります。 ・矯正治療により、歯ぐきが下がる(歯肉退縮)や、歯の根が短くなる(歯根吸収)可能性があります。 ・必要に応じて、ワイヤー矯正を併用することがあります。 |
| 料金(税込) | インビザライン矯正:1,100,000円 接着性セラミックブリッジ:220,000円×2箇所 合計:1,540,000円 |
Case5
術前

術中

術後

| 治療名 | インビザライン・ライトによる前歯のガタつき改善症例 |
|---|---|
| 治療説明 | 前歯のガタつき(叢生)をマウスピース型矯正装置「インビザライン・ライト」で改善した症例です。 全体的な咬み合わせには大きな問題がなかったため、短期間で前歯の並びを整えることができました。ワイヤーを使わず、透明なマウスピースで目立たずに治療を行いました。 |
| 治療回数・期間 | 約4ヶ月 |
| 副作用とリスク | ・インビザライン矯正では、1日20時間以上のマウスピース装着が必要です。 ・歯の移動に伴って、痛みや咬合時の違和感が生じることがあります。 ・歯ぐきが下がる(歯肉退縮)や、歯の根が短くなる(歯根吸収)などの可能性があります。 ・使用できるマウスピースの枚数に制限があるため、すべての症例に適応できるわけではありません。 |
| 料金(税込) | 770,000円 |
マウスピース矯正
(インビザライン)の費用
| 軽度 | 660,000円~770,000円 ※調整量込み |
|---|---|
| フル | 1,100,000円 ※調整量込み |



