前歯だけ大きいことで
悩んでいる方へ
歯の形やサイズには個人差があり、特に前歯の大きさで悩んでいる方は少なくありません。また、顎の大きさ・お口まわりの容貌も一人一人異なりますので、相対的に前歯が大きく見えるということもあります。
歯の大きさは、一般的な矯正治療では改善できません。ただ、セラミックの被せ物を使った「セラミック矯正」であれば、前歯の大きさ、さらに形状や色も調整できます。
前歯が大きくお悩みの方は、ぜひ一度当院にご相談ください。
前歯だけ大きくなっている原因
前歯の横幅の平均は、男性であれば8.6ミリ、女性で8.5ミリです。
前歯が平均より大きかったり、平均かそれ以下であっても大きく見える原因としては、以下のようなものがあります。
遺伝
骨格と同じように、歯の大きさも親から子に遺伝します。両親の前歯が大きい場合、そうでない場合よりも前歯が大きくなる可能性が高くなります。
口が小さい・唇が薄い
お口が小さかったり、唇が薄かったりすると、相対的に前歯が大きく見えることがあります。
上顎前(出っ歯)・
下顎前突(受け口)
出っ歯や受け口で前歯が前方に出ている場合、大きさは普通であっても前歯が目立ち、大きく見えることがあります。
前歯のガタガタ(叢生)
叢生とは、歯列がガタガタで、歯と歯が前後に重なっている状態を指します。側切歯(前歯から数えて2番目の歯)が後方にある場合、中切歯(前歯)が目立ち、大きく見えます。
歯茎の退縮
加齢や歯周病によって歯茎が下がってくると、歯が長く見えます。当院では、歯茎の退縮を改善する根面被覆術という治療にも対応しております。
前歯が大きいことでの影響は?
前歯が大きい、大きく見えることで、以下のような影響が生じることがあります。
見た目が気になり、喋る・
笑うことに抵抗が生じる
患者様からもっともよく聞かれるお悩みです。歯並びが悪くなくても、前歯の大きさが気になり、人に見られたくないと感じます。また、歯学的には問題ないのに、出っ歯に見えるということもあります。
噛み合わせの乱れ
出っ歯や受け口、歯のガタガタなど、歯並びの乱れが原因になっている場合、噛み合わせも良くない可能性が高くなります。食事、発音などに支障が出るケースも見られます。
虫歯・歯周病になりやすい
歯並びの乱れが原因である場合には、歯磨きが難しくなったり、噛み合わせが良くないことから、将来的な虫歯や歯周病のリスクが高くなることが懸念されます。
前歯が大きい場合の治療法は
セラミック矯正
前歯が大きい・大きく見えるといったお悩みには、セラミック矯正が有効です。セラミック矯正とは、歯を削り、セラミックの被せ物を取り付けることで、各歯の大きさや形を整え、歯並びを改善するという治療です。もちろん、セラミックの白さも調整ができます。また、1本から治療が可能です。一般的な装置を使った矯正治療と比べ、費用が抑えられ、治療期間も短くて済みます。
その他、原因によっては、矯正治療、根面被覆術などが有効になることがございます。原因、ご希望に応じて、お一人おひとりに合った治療を提案させていただきます。
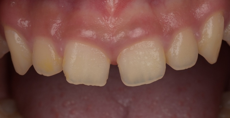
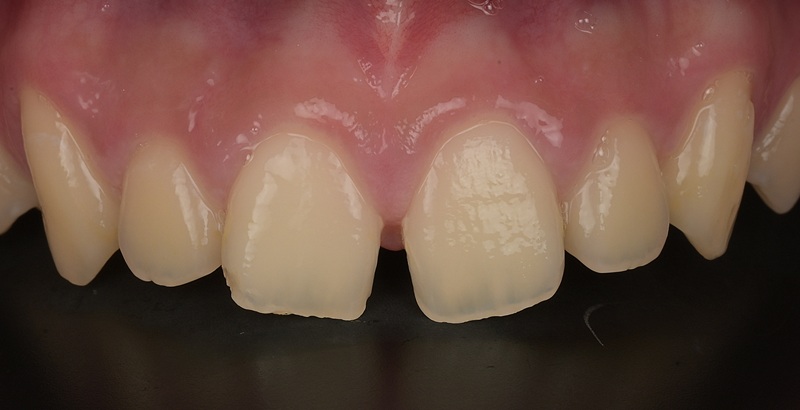
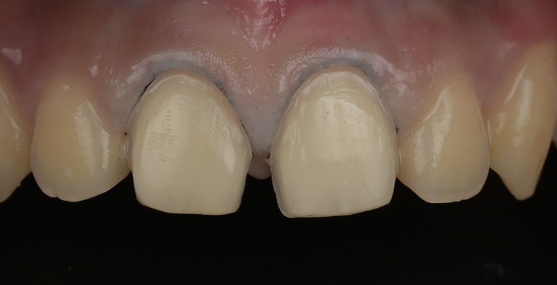
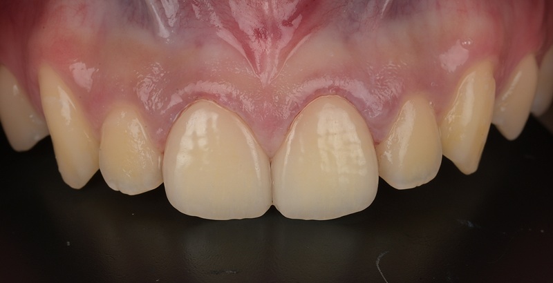
症例
Case1
術前

ラミネートベニア形成前

ラミネートベニア形成後

ラミネートベニアセット後

| 治療名 | ラミネートベニアと歯冠長延長術による前歯の審美改善症例 |
|---|---|
| 治療説明 |
前歯の「すきっ歯(正中離開)」を改善したいというご希望で来院されました。 ただし、中切歯(真ん中の前歯)は歯ぐきが歯にかぶさっている“受動的萌出不全”の状態で、隙間をそのまま埋めてしまうと不自然に横長な歯になることが予想されました。 歯のバランスと歯ぐきのラインを両方整えることで、自然で美しい前歯の印象に仕上がりました。 |
| 治療回数・期間 | 4ヶ月 |
| 副作用とリスク | ・歯冠長延長術の際に、出血や痛み、軽い腫れを伴うことがあります。 ・仮歯が外れることで、一時的に見た目に影響が出る可能性があります。 ・セラミックは強度が高い反面、過度な衝撃により破折やひび割れが起こることがあります。 ・治療工程によっては期間が長くかかる場合があります。 |
| 料金(税込) | ラミネートベニア:132,000円×2本 歯冠長延長術:110,000円 合計:374,000円(税込) |
前歯のセラミック矯正の費用
税込表記です。
| 前歯 セラミック |
132,000円 |
|---|





