- 子供の矯正はいつからするべき?
- 子供の癖や歯並びが気になる場合は
まずは一度ご相談ください - 当院の子供の矯正歯科の特徴
- 子供の頃から矯正治療を行う
メリットは?デメリットもある? - 子供の矯正治療をやらなきゃよかったと後悔しないために知っておくべきこと
- 当院で行う子供の矯正治療
- 症例
- 子供の矯正治療の費用
子供の矯正は
いつからするべき?
子供の矯正治療を開始する時期ですが、5~6歳頃が一般的です。この時期から治療を行うことで、顎の骨の発達を促しながら、無理なく矯正治療を進めやすくなります。もちろん、より早いタイミングで歯並びが気になる・心配だという場合にも、お気軽にご相談ください。
一期治療と二期治療
子供の矯正治療は、5~12歳くらいまでの混合歯列期に行う「一期治療」と、12歳以降に行う「二期治療」があります。
一期治療では、主に顎の発達を促す装置を使った治療を行います。対する二期治療では、基本的に成人矯正と同じ装置を使い、本格的に歯を動かしていきます。
一期治療と二期治療を両方受ける、一期治療だけを受ける、二期治療だけを受けるといったパターンがありますが、一期治療を受けておくことで、二期治療が必要になる可能性が低くなります。
子供の癖や歯並びが
気になる場合は
まずは一度ご相談ください
歯並びの乱れの多くは、歯を支える顎の骨の発達が不足することが原因であり、舌・口唇などの癖や口呼吸によって次第に悪化していきます。そのためお子様の場合、すでに歯並びの乱れがある場合はもちろん、将来的に歯並びが乱れるおそれのある場合でも、矯正治療を受けることをおすすめしております。
子供の気になる癖
- 舌を出す、前歯に押し付ける
- 唇を噛む
- 指しゃぶり
- 爪噛み
- 頬杖
- 口呼吸
- 十分に噛んでいないように見える
- 不良姿勢
子供の気になる歯並び

上顎前突(出っ歯)
上の前歯が下の前歯より大きく前方に出ている歯並びです。
上唇が閉じづらい、食べ物を噛み切れない、滑舌が悪い、奥歯に負担がかかる等の問題が生じます。
下顎前突(受け口)
下の前歯が上の前歯よりも前方にある歯並びです。
滑舌が悪い、食べ物を噛み切れない、奥歯に負担がかかる等の問題が生じます。また、顎関節症の原因になることもあります。早期からの治療が推奨されるため、気づいた時にはお早目にご相談ください。
叢生
歯列がきれいに並ばず、前後にガタガタとしている歯並びです。
歯磨きが難しく、虫歯や将来的な歯周病のリスクが高くなります。いわゆる八重歯も、叢生に含まれます。
過蓋咬合
上の歯が、下の歯に大きくかぶさっており、いわゆる噛み合わせが深いという状態です。
食べ物を噛み切れない、滑舌が悪い、奥歯に負担がかかる等の問題が生じます。
開咬
自然に上下の歯を噛み合わせた時に、正面から見てそのあいだに隙間が見える歯並びです。前歯が噛み合っていません。
空気が抜けやすく、滑舌が悪くなります。また、食べ物を噛み切れない、奥歯に負担がかかるといった問題も生じます。
空隙歯列(すきっ歯)
歯と歯のあいだに隙間がある歯並びです。
空気が漏れるため、発音に支障が出ることがあります。また、食べ物が詰まりやすくなります。ただし、乳歯列期のすきっ歯は、永久歯の生え替わりによって自然に解消されることが多く、経過観察をしながら必要に応じて治療をします。
当院の子供の矯正歯科の特徴
ゆたか歯科クリニックの小児矯正の特徴をご紹介します。
丁寧なカウンセリング・検査で治療の必要性を正確に判断
現在の歯並びだけでなく、今後の顎の発達、将来的なリスクなどを考慮して、矯正治療が必要か・そうでないかを正確に判断します。カウンセリングでは丁寧に説明とヒアリングを行いますので、まずはお気軽に、安心してご相談ください。
信頼関係を大切にした、
歯医者嫌いにならない
矯正治療を提供します
当院では、保護者様だけでなく、お子様ご本人ともしっかりとコミュニケーションを取り、信頼関係を構築することを大切にしています。治療の内容や重要性、今日は何をするかといったことを、分かりやすい言葉でお伝えし、保護者様・お子様にご納得いただいてから、一つひとつの治療を進めていきます。
一般歯科をはじめとする
幅広い領域に対応し、
ワンストップで治療を
完結できる
矯正治療前、あるいは矯正治療中に虫歯などの治療が必要になった場合にも、矯正歯科のみに対応する歯科医院とは異なり、院内で治療を受けられます。
マウスピース矯正
(インビザライン)に対応
二期治療では、マウスピース矯正を受けていただけます。ワイヤー矯正のように装置が目立ったり、痛みが強く出ることがありません。また、食事・歯磨きの際に取り外せる点も、お子様に余計なストレスを与えず、虫歯になりにくいという点で、大きなメリットとなります。
当院では、世界No.1シェアのマウスピース型の矯正装置「インビザライン」を採用しています。
子供の頃から矯正治療を行う
メリットは?
デメリットもある?
矯正治療は、基本的に年齢の上限はありません。
では、小児矯正を受けることには、どのようなメリット、またデメリットがあるのでしょうか。
メリット
- 早くから歯並びが整うことで、生涯における虫歯・歯周病リスクが抑えられる
- 見た目のコンプレックスを予防・改善できる、自信を持つきっかけになる
- 噛む、話す、飲み込む機能を早くから高めることができる
- 顎の発達を促すことができる(成人矯正ではできない)
- 噛み合わせが改善することで、身体の発達、スポーツのパフォーマンスにも好影響が期待できる
- 成人矯正が不要になるかもしれない、トータルの矯正費用を抑えられることがある
- 成人矯正のみを受ける場合と比べて、抜歯が必要になるケースが少ない
- 顎の発達する力を利用した治療であるため、成人矯正より痛みが少ない
デメリット
- 15歳くらいまでは治療や経過観察を継続する必要があり、成人矯正よりも通院期間が長い
- お子様ご本人のヤル気、保護者様の協力が不可欠
- 治療期間中はやや虫歯リスクが高くなるため、より丁寧な歯磨きが必要
子供の矯正治療を
やらなきゃよかったと
後悔しないために
知っておくべきこと
成人矯正よりも通院期間が
長くなる
お子様の場合、治療を開始した時期にかかわらず、顎の発達がほぼ終わる15歳くらいまで、治療・経過観察が必要です。成人矯正の治療期間が2~3年(保定期間を入れて4~6年)と比べると、通院期間が長くなります。
※小児矯正の場合、装置を外して過ごす期間もあり、15歳までずっとつけているというわけではありません。
お子様ご本人のヤル気、
保護者様のサポートが
重要になる
着脱可能な装置の場合、お子様が自己判断で装置を外し、治療をサボってしまうという可能性があります。そのようなことにならないように、矯正治療の内容・重要性については、お子様ご本人にもご理解・ご納得していただくことが重要です。
また、通院の付き添いはもちろん、ご家庭で装置を管理したり、仕上げ磨きをしてあげたりといった、保護者様のサポートも不可欠です。こちらについても、当院では事前に詳しく説明・指導させていただきます。
治療期間中はより虫歯に
注意する必要がある
成人矯正にも言えることですが、治療期間中はどうしても虫歯リスクが高くなります。また、虫歯になってしまった場合には、矯正治療が一時中断することもあります。毎日の歯磨き・仕上げ磨き、定期検診・予防処置などで、これまで以上に虫歯に気を付けなければなりません。
保定期間も治療期間と
同じくらい大切になる
矯正治療が終わり、矯正装置が不要になってからも、後戻りを防ぐ保定装置を使用する必要があります。この期間を、保定期間と言います。保定装置を正しく使用しないと、後戻りが起こり、場合によっては再度、矯正治療が必要になることがあります。
保定期間は、治療期間と同じくらい大切な期間であることをご理解ください。
当院で行う子供の矯正治療
ゆたか歯科クリニックでは、一期治療・二期治療において、主に以下のような装置を使った矯正治療を行います。
【一期治療】急速拡大装置
顎の骨を広げて、歯がきれいに並ぶスペースを確保するための固定装置です。
まだ骨が柔らかく、広がりやすい段階である小児期に行います。顎の骨を広げることで、矯正治療における抜歯のリスクを減らしたり、口呼吸から鼻呼吸への改善をしたりすることができます。
【二期治療】マウスピース
矯正(インビザライン)
成人矯正でも使用される、マウスピース型の矯正装置です。マウスピースを交換していくことで、歯を理想的な位置へと動かしていきます。
目立ちにくく、痛みが少なく、食事・歯磨きの際には取り外せることから、ワイヤー矯正よりもご負担が抑えられます。ただし、1日20時間以上の装着が必須であり、その点を含めて正しい使用方法を事前にお子様ご本人にも丁寧に説明し、ご理解・ご納得いただく必要があります。
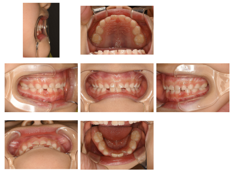
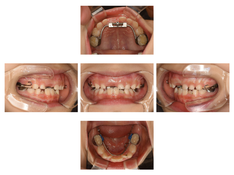
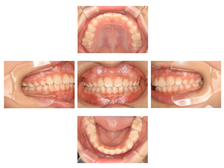
症例
Case1
術前

術中

術後

| 治療名 | 小児矯正 |
|---|---|
| 治療説明 | 将来の歯並びが悪くなる可能性が非常に高いと判断されたため、上顎に急速拡大装置、下顎にリンガルアーチを用いて小児期の矯正治療を行いました。大人の歯が映えるスペースを確保し、上下の顎のアンバランスも改善できました。 |
| 治療回数・期間 | 1年 |
| 副作用とリスク | 大人の歯の位置や方向を完全にコントロールできない可能性があり、追加の成人矯正が必要になる可能性があります。治療期間が長くなる可能性、複数回の装置作成が必要となる可能性があります。 |
| 料金(税込) | 550,000円 |
子供の矯正治療の費用
税込表記です。
| 一期治療 | 550,000円 ※調整量・装置の費用など込み |
|---|---|
| 二期治療 | 660,000円 ※調整量込み |
| 加速装置 | 110,000円 |



