根管治療とは
神経まで侵された虫歯は、削って被せ物を取り付けるだけでは再発してしまいます。被せ物を取り付ける前に、根管をきれいにする「根管治療」が必要になります。
根管治療では、専用の道具を用いて根管内を徹底的に洗浄し、消毒し、薬剤を詰める処置を行います。根管を無菌状態にすることで、再発のリスクを抑えられます。
当院では、保険の根管治療に加え、マイクロスコープなどを使った自費の根管治療に対応しております。また当院院長は、根管治療に関する講演・執筆も数多く行っておりますので、どうぞ安心してご相談ください。
当院の根管治療の特徴
保険・自費の根管治療に対応
保険内での根管治療、自費での根管治療のいずれにも対応しております。歯の状態、ご予算などに応じて、お選びいただけます。自費の根管治療では、より精密な、自由度の高い治療が可能です。
経験・実績の豊富な
院長による根管治療
根管治療に関する多数の講演、執筆を行っている院長が根管治療を行います。豊富な経験を活かした、医学的根拠のある、正確な根管治療を提供します。
※自費の治療はしばらく院長が行いますが、保険の根管治療に関しては勤務医が行うこともあります。
歯科用CTによる正確な診断
複雑な形状をした根管を正確に把握できる、歯科用CTを導入しております。根管の形状を把握しておくことで、より正確な洗浄や消毒が可能になります。
マイクロスコープを用いた
精密な根管治療
視野を約20倍にまで拡大できるマイクロスコープを導入しております。複雑な形状をした根管内も、マイクロスコープを使用すれば、細部まで徹底的な洗浄・消毒ができます。
成功率を高めるラバーダムの使用
根管治療の際、きれいにした根管内に唾液が侵入すると、再感染が起こってしまいます。これを防ぐためには、治療の対象となる歯だけを露出させるラバーダムの使用が推奨されます。
ラバーダムの使用は、再感染のリスクを最小限に抑えられるだけでなく、治療の精度の向上、患者様のご負担軽減にもつながります。マイクロスコープ、ラバーダムに関しては自費診療では必ず行いますが、保険治療では原則として使いません。
清掃性の向上・治療時間短縮に貢献するニッケルチタン
ファイルの使用
根管を清掃する際、通常はステンレスファイルが使用されます。当院では、より柔軟性の高いニッケルチタンファイルを使用した根管治療に対応しております。清掃性が向上するだけでなく、治療時間の短縮にもつながります。
当院で行う根管治療について
一般に、歯科医院では特に患者様が希望されない限り、保険の根管治療が行われます。当院ではこれに加え、自費の根管治療にも対応しております。
自費の根管治療では保険の縛りがないため、歯科医院によってその内容が異なり、より自由度の高い治療が可能になります。
保険で行う根管治療
保険のルールに基づいた方法・内容で、根管治療を行います。
1回の治療時間は30~40分程度で、少なくとも4~5回の治療(通院)が必要になります。
3割負担の方の場合、費用は2,000~5,000円程度となります。
自費で行う根管治療
保険のルールに縛られず、さまざまな道具や機器、材料を用いて、自由度の高い根管治療を行うことが可能です。
1回の治療時間を長くとり、治療回数を減らすということも可能です(長い時間お口を開けているのは大変なので、患者様と相談し、時間・回数を調整します)。
費用は、その根管治療の内容、歯科医院によって異なります。
当院の自費の精密根管治療
保険で行う根管治療には、使用する道具・機器、材料などに制限があり、一定の効果は見込めるものの、成功率を追求することが困難であると言わざるをえません。
そこで当院では、マイクロスコープ、ラバーダム、歯科用CTなどを用いた、自費の精密根管治療にも対応しております。再感染のリスクを抑えた、より精密な治療が可能となり、成功率を高めることが可能です。また、通院回数も少なくなりますので、患者様のご負担の軽減という意味でもメリットがあります。
歯を残すことの大切さ
根管治療後は、被せ物を取り付けることで、見た目・機能を取り戻すことが可能です。一方で、根管治療を試みず、その歯を失うことになってしまった場合には、審美性・機能性を取り戻すためにインプラント・入れ歯・ブリッジといった治療が必要になります。
どちらがお口全体の健康を維持しやすいかということを考えると、やはりご自身の歯を残せる根管治療の方が優位です。また、「自分の歯が残っている」という事実は、やはり精神的にも大きなメリットとなります。
根管治療によってその歯を残せるかどうかの基準は、歯科医院によって異なります。「残すことはできない」と言われた場合にも、ぜひ一度、自費の精密根管治療に対応している当院にご相談ください。
根管治療が必要になるケース
虫歯が神経・血管に達している
長期にわたって虫歯を放置したために、虫歯が根管の神経・血管に達しているケースです。
虫歯が神経・血管を腐らせている
さらに虫歯を放置したために、神経・血管が死んでしまっているケースです。
歯の根に膿が溜まっている
感染が根管を通して歯の根におよび、根の先に膿が溜まっている状態です。
根管治療の保険と
自費による違い
| 保険の根管治療 | 自費の根管治療 | |
| 治療時間・回数 | 1回あたり30~40分の治療が、少なくとも4~5回必要 | 1回あたりの治療時間を長くとるため、治療回数を減らせる |
|---|---|---|
| 成功率 | 約60% | 約90% |
| 使用する道具・機器 | レントゲン・ステンレスファイルなど | CT・ニッケルチタンファイル・マイクロスコープ・ラバーダムなど |
| 費用 | 1本あたり2,000~5,000円(3割負担の場合) | 前歯で7~10万円、奥歯で10~15万円(相場) |
万が一、根管治療後に
ズキズキする痛みが続く場合
根管治療は、根管の神経や血管を除去しますが、治療によって周囲の神経が過敏になることで、ズキズキとした痛みが残ることがあります。通常、3日以内には治まります。
もし、痛みが3日以上続く、3日未満でも痛み止めが効かない激しい痛みがあるといった場合には、すぐに当院にご連絡ください。
歯の寿命を延ばすための選択をおすすめします
日本の保険制度は、多くの人が一定水準以上の治療を、経済的なご負担少なく受けられるという点で、非常に優れた制度と言えます。
一方で、審美性や機能性をとことん追求するといった場合には、保険のルールに縛られない自費の治療を選択せざるを得ないという現実もあります。
自費の根管治療は、成功率が高く、再発率は低く、その歯の寿命を延ばすことにつながります。保険の根管治療と比べるとお金はかかってしまいますが、大切な歯・お口を守る、安心を得るという意味では、すべての患者様に、自費の根管治療を一度はご検討いただきたいと考えております。
症例
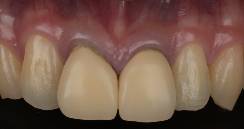
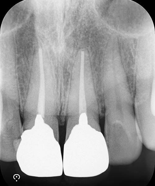
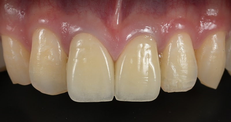
Case1
術前


術後


| 治療名 | 精密根管治療と前歯セラミッククラウンによる審美修復症例 |
|---|---|
| 治療説明 |
以前に治療された前歯の被せ物の見た目を気にされ、再治療をご希望されました。 審美性だけでなく、内部の根管治療まで丁寧に行うことで、将来的なトラブルのリスクを抑えた、長期的に安定した治療結果を目指しました。 |
| 治療回数・期間 | 4回 |
| 副作用とリスク | ・保険診療の銀歯と比べて費用が高額になります。 ・根管治療からクラウン装着までを含めると、治療期間が長くなる傾向があります。 |
| 料金(税込) | 精密根管治療:88,000円×2本 セラミッククラウン:132,000円×2本 合計:440,000円(税込) |



