重度歯周病とは
重度歯周病とは、顎の骨が歯の根の高さの半分以上、溶けてしまった段階です。支えとなる顎の骨が大きく溶けることで、歯がグラグラと揺れ、食事などに支障が出ます。
それより前から出現している歯茎の腫れ・退縮・出血・膿、口内の粘つき、口臭などはさらに悪化し、最終的には歯の脱落に至ります。
ただ、重度歯周病であるから良くならない、歯が抜けるのを待つしかないといったことは決してありません。当院では、歯周病治療に特に力を入れており、さまざまな高度な治療法をご用意しております。
歯周病を長く放置してしまったという方も、諦めずに、一度当院にご相談ください。
症状について
重度歯周病では、以下のような症状が見られます。
この状態を放置していると、近い将来、歯が抜け落ちます。
- 歯茎の赤い腫れ
- 口の中がネバネバする
- 歯茎からの出血、膿
- 歯茎が下がってきた
- 歯間が広くなったように見える
- 口臭が強くなる
- 歯がグラつき、食事に支障が出てくる
主な原因
重度歯周病の主な原因としては、歯周病菌の感染、プラーク・歯石の蓄積、歯周ポケットでの細菌の増殖などが挙げられます。またそれ以外にも、さまざまな因子が重度歯周病への進行に影響します。
細菌感染
もっとも根本的な原因です。歯周病菌に感染することで、歯周病になるリスクが発生します。
プラーク・歯石の蓄積
プラークには、虫歯菌や歯周病菌などさまざまな細菌が含まれます。歯磨き・メインテナンスの不足などによってプラークが多くなると、それだけ歯周病や虫歯のリスクが高くなります。また歯石はプラークが付着しやすいため、細菌の増殖の温床となります。
歯周ポケットでの細菌感染・増殖
歯茎に留まっていた炎症が、歯周ポケットの細菌の感染・増殖によって拡大し、顎の骨を溶かします。また歯周ポケットが深くなることで、そこにさらにプラーク・歯石が溜まりやすくなります。
免疫の異常
歯周病では、免疫の過剰な反応が見られます。これにより、炎症が慢性化します。
生活習慣の乱れ
喫煙、不規則な生活リズム、ストレスなどは、血流や免疫力の低下を招き、歯周病を進行させます。
歯並び・噛み合わせの乱れ
清掃性の低下・プラークや歯石の蓄積、歯周組織への不正な刺激などを招き、歯周病を悪化させます。
遺伝的要因
歯周病のなりやすさには、遺伝的要因も関係していると言われています。
全身疾患
糖尿病、骨粗しょう症などの全身疾患は、歯周病を発症・悪化させやすくするリスク因子となります。
重度歯周病は治る?
抜歯が必要?
重度歯周病にまで進行すると、近い将来に歯を失ってしまう可能性が高くなります。また、周囲の歯、お口の環境などを考慮し、抜け落ちる前に抜歯が行われることもあります(戦略的抜歯)。
ただ、当院では歯周組織再生療法などの高度な歯周病治療により、患者様がご希望される限り、歯を残せるよう努力いたします。
他院で「抜歯しかない」「歯を残せない」と言われた場合も、ぜひ一度、当院にご相談ください。
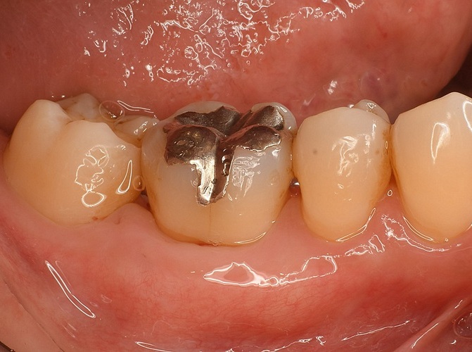
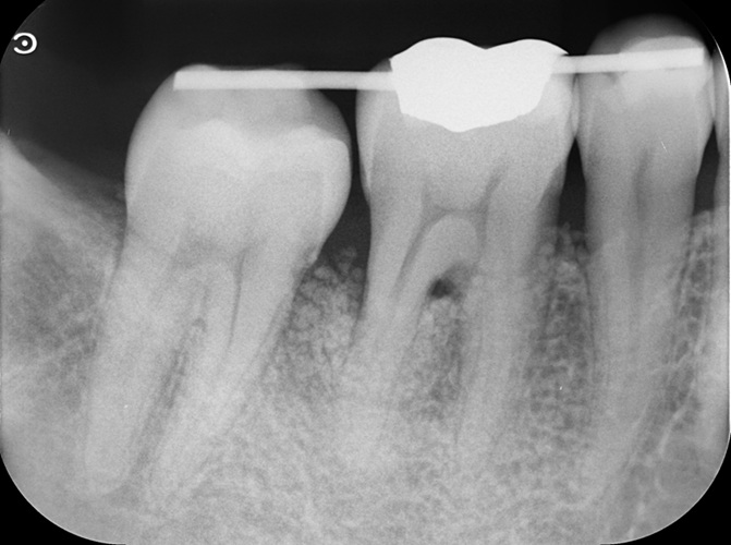
治療方法
重度歯周病に対しては、以下のような治療を行います。
なお、プラーク・歯石を専用の道具を用いて徹底的に除去するSRP(スケーリング・ルートプレーニング)、指導された方法で行う毎日の丁寧な歯磨きは、歯周基本治療として、歯周病の進行の程度に関係なく必須となります。
フラップオペ
歯周ポケットが深くなり、歯周基本治療では十分な改善ができない場合、まず検討するのがフラップオペです。
歯茎に切開を加え、歯の根を露出(歯周ポケットを開いたような状態)させた上で、歯の根に付着したプラーク・歯石を取り除きます。プラーク・歯石の付着を防ぐため、歯面を滑らかにした上で、縫合します。
歯周組織再生療法
歯周組織再生療法とは、歯周病によって溶けてしまった顎の骨を再生させる治療です。
1991年のある研究データによると、2.5~4mmの骨が溶けたケースでは10年後に約半分が、4mm以上の骨が溶けたケースでは10年後に約7割が抜歯になっています。
歯周組織再生療法では、リグロス、エムドゲインといった薬剤を使用します(自由診療)。骨の吸収が進んだ部位に薬剤を塗布し、骨ができる時と近い環境を作ることで、顎の骨の再生を図ります。
歯周組織再生療法は、歯を長く残せる確率を格段にアップさせます。
根面被覆術
歯茎が下がって歯の根が露出すると、虫歯や知覚過敏のリスクが高くなったり、見た目が気になったりする問題が発生します。
根面被覆術は、患者様ご自身の上顎の歯肉を使って、露出した歯の根を覆うという治療です。審美的・機能的な回復が期待できます。
根面被覆術は高度な技術と豊富な経験が求められ、対応している歯科医院は多くありません。歯茎の退縮が気になる方は、ぜひ一度当院にご相談ください。
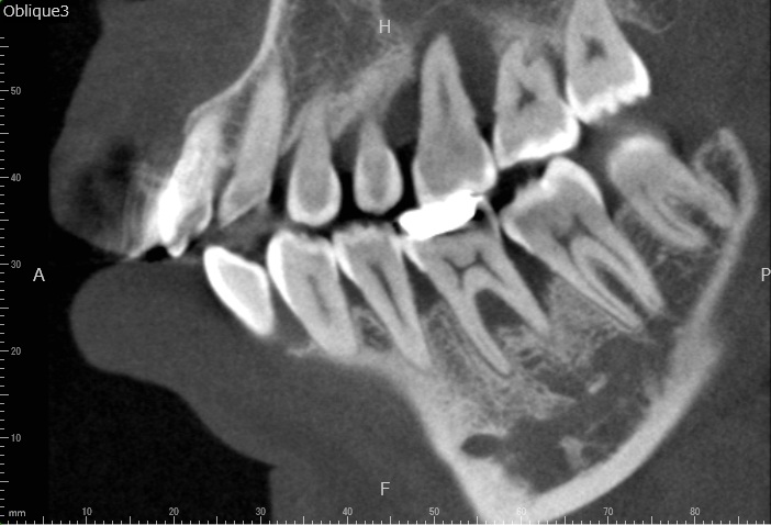
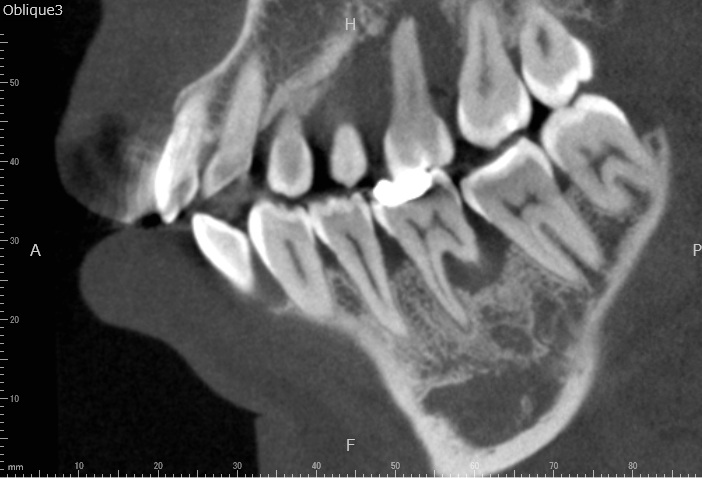
重度歯周病の症例紹介
(画像あり)
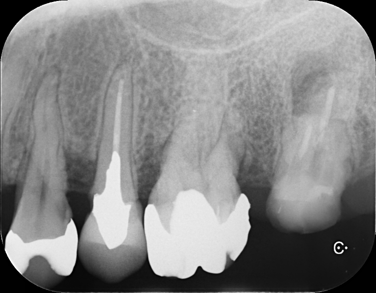
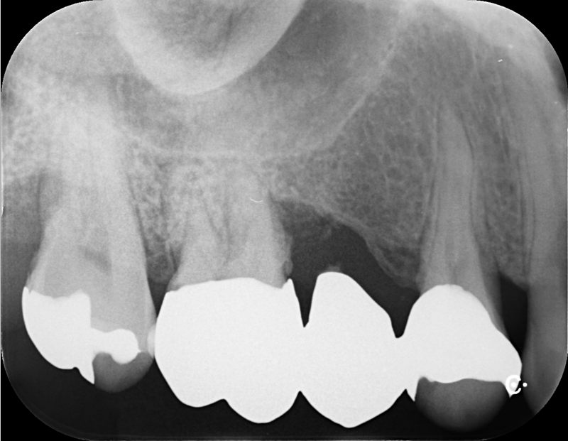
Case1
術前


術後


| 治療名 | 再生療法 |
|---|---|
| 治療説明 | 右上6,7、左上5,6に重度の歯周病があり、通常の歯周治療でも改善しませんでした。歯周組織再生療法を行い、吸収してしまった骨を再生し、今後の歯周病の進行リスクを減らす事ができました。 |
| 治療回数・期間 | 6ヶ月 |
| 副作用とリスク | 手術後に出血、腫脹、疼痛が生じることがあります。手術後は術部の創傷安定のためにブラッシング制限、食事制限があります。手術が複数回となることがあります。 |
| 料金(税込) | 歯周組織再生療法:220,000円(左右2箇所:440,000円) セラミッククラウン2本・ブリッジ1箇所:550,000円 総額:990,000円 |
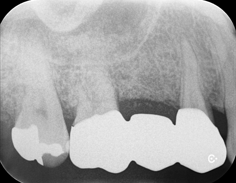
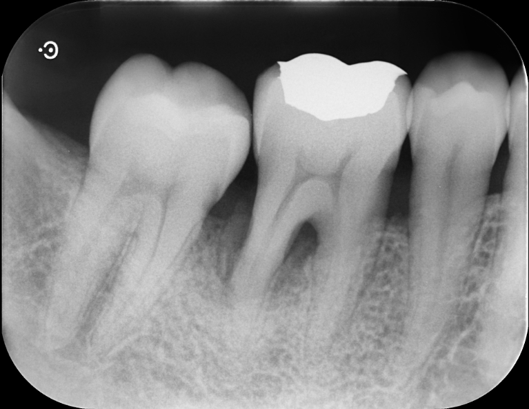
Case2
術前




術中

術後




| 治療名 | 再生療法 |
|---|---|
| 治療説明 | 右下6に重度の歯周病があり、通常の歯周治療でも改善しませんでした。歯周組織再生療法を行い、吸収してしまった骨を再生し、今後の歯周病の進行リスクを減らす事ができました。歯肉退縮もあったため同時に結合組織を移植し、骨と歯肉の再生を同時に行っています。 |
| 治療回数・期間 | 6ヶ月 |
| 副作用とリスク | 手術後に出血、腫脹、疼痛が生じることがあります。手術後は術部の創傷安定のためにブラッシング制限、食事制限があります。手術が複数回となることがあります。 |
| 料金(税込) | 再生療法:165,000円 結合組織移植:55,000円 総額:220,000円 |
Case3
術前

術中



術後


根面被覆

| 治療名 | 前歯インプラント、根面被覆 |
|---|---|
| 治療説明 | 前歯4本の抜歯が必要となったためインプラントで回復することになりました。右上1,左上1に抜歯と同時にインプラントを埋入しました。右上2、左上2は結合組織移植を行いボリュームを回復することで、見た目と清掃性を向上させました。左右側方歯には根面被覆術を行って歯肉退縮を回復しました。 |
| 治療回数・期間 | 1年 |
| 副作用とリスク | インプラント治療は入れ歯やブリッジと比べて治療期間が長くかかることがあります。インプラント手術と結合組織移植は、違和感、痛み、腫れ、出血などが発生する場合があります。一時的なもので、2日〜1週間で治まります。 |
| 料金(税込) | 骨造成:110,000円(2本:220,000円) インプラント1次手術:220,000円(2本:440,000円) インプラント2次手術:55,000円(2本:110,000円) 結合組織移植:110,000円(4本:440,000円) 上部構造:220,000円(4本:880,000円) 根面被覆:396,000円 合計:2,456,000円 |



