虫歯について
実は、初期虫歯にはほとんど自覚症状がなく、痛みが出る頃にはある程度進行していることが多くなります。そして進行しているほど、歯を削る量も増えてしまいます。
当院では、虫歯の早期発見・早期治療、および必要最小限の削除によって、できるだけ天然の歯質を残せるよう努めています。また、重度の虫歯への根管治療にも対応しており、患者様の大切な歯を1本でも残せるよう、最大限の努力をいたします。
痛みにも配慮し、多種の修復物をご用意しておりますので、安心してご相談ください。
このような症状は虫歯かも!?
虫歯の症状は、「痛み」だけではありません。
以下のような症状に気づいた時には、お早目にご相談ください。
- 歯の溝など、一部が黒くなっている・
茶色くなっている - 歯の一部が白く白濁している
- 冷たいものがしみる
- 熱いものもしみるようになってきた
- 噛んだ時に歯が痛む
- 何もしていない時もズキズキ痛む
- 歯茎に腫れ、出血、痛みがある
- 歯茎から膿が出てきた
- ずっと痛かった歯から、痛みが消えた
虫歯の主な原因
ミュータンス菌などの虫歯菌
ミュータンス菌をはじめとする虫歯菌は、歯に付着して糖質から酸を作り、歯を溶かします。糖質を摂り過ぎたり、歯磨きが不足すると、ミュータンス菌が活性化します。
糖質の摂り過ぎ
食べ物に含まれる糖質は、ミュータンス菌のエサとなるため、その量が多い・長い時間口内に残っていると、虫歯菌が作る酸の量が増え、虫歯の原因となります。特に、砂糖を含む食品が虫歯リスクを高めます。
歯磨きの不足
歯磨きが不足することで、口内の糖質、糖質をエサにする虫歯菌が多くなり、虫歯リスクが高くなります。毎食後すぐに、正しく歯を磨くことが大切です。
歯質
虫歯のなりやすさには、個人差があります。またそれとは別に、乳歯・生えたばかりの永久歯は、エナメル質が薄かったり、歯質が完成していないために、虫歯リスクが高くなります。
虫歯の進行と治療法

虫歯の進行は、C0~C4の5段階で評価されます。各段階での症状・主な治療法をご紹介します。
C0
歯の一番外側にあるエナメル質が溶け始めた段階です。ただ、まだ穴はあいていません。自覚症状はほとんどありませんが、一部が白濁して見えることがあります(ホワイトスポット)。
治療法
ご自宅での丁寧なセルフケア、歯科医院でのフッ素塗布によって再石灰化を促し、歯を削らずに治すことが可能です。
C1
エナメル質が溶かされ、小さな穴があいた状態です。黒くなったり、茶色っぽくなったりしますが、痛みはほとんどありません。
治療法
虫歯部分を削り、コンポジットレジンを詰める治療を行うことが多くなります。C1は当院では基本的にC 0と同じ治療となります。多くの場合削りません。
C2
虫歯が進み、エナメル質の下にある象牙質に達した段階です。冷たいものがしみる、噛んだ時の痛みなどの症状が現れます。穴が目視できたり、食べ物が詰まったりして気づくケースも増えてきます。
治療法
虫歯部分を削り、コンポジットレジンで埋めたり、型取りをして詰め物を詰める治療を行うことが多くなります。
C3
虫歯が、神経・血管が詰まった根管にまで達した段階です。冷たいものに加えて、熱いものもしみるようになります。また、何もしなくてもズキズキ痛むということがあります。
治療法
虫歯部分を削り、神経を除去する根管治療を行います。その上で、型取りをして、被せ物を取り付ける治療を行います。歯髄の状況によっては、ラバーダム、MTAセメントを使った直接覆髄や断髄を行って歯髄保存を選択することもあります。(自由診療)
C4
歯の大部分が溶けて失われ、根だけが残っている段階です。神経が死ぬことで一旦痛みが消えますが、その後、歯の根の先に膿が溜まると、再び激しい痛みに襲われます。
治療法
根管治療を行い、できるだけ歯を残せるよう努めます。しかし、歯を残せないこともあり、その場合はインプラント、入れ歯、ブリッジといった治療が必要になります。
虫歯を放置するとどうなる?
虫歯を放置すると、以下のようなことが起こります。お口の中だけの問題ではなく、全身へと悪影響が波及し、健康を脅かします。
痛み
冷たいものや熱いものでしみるようになり、その後は常にズキズキと痛みが続きます。痛みで夜間に眠れない、仕事・家事に支障が出るなどし、QOLが低下します。
歯が溶けていく・失われる
虫歯が進行するほど歯が溶けていき、より大きな治療が必要になります。特に神経に達した場合には、通院回数が多くなる根管治療を行わないと、歯が残せません。歯を失ってしまうと、インプラント・入れ歯・ブリッジといった治療も必要になります。
全身疾患のリスク上昇
虫歯菌が血管を介して全身に巡ることで、心筋梗塞や脳梗塞、菌血症、副鼻腔炎といった疾患のリスクが高まります。
その他
口臭や食欲不振、顎骨の炎症などのリスクが上昇します。
虫歯が再発する原因
歯磨きの不足
歯磨きが不足すると、それだけ虫歯の再発リスクは高くなります。一度治療をしたところは、治療前の状態と比べて虫歯リスクが高くなっていますので、より丁寧な歯磨きが必要です。歯ブラシに加えて、デンタルフロスや歯間ブラシも活用しましょう。また歯磨き方法は、歯科医院で指導してもらいましょう。
メインテナンスの不足
治療後も、メインテナンスのために定期的に歯科医院に通う必要があります。これを怠ると、プラークの磨きの残し、歯石が多くなり、虫歯や歯周病のリスクが高まります。虫歯・歯周病の予防と早期発見のため、治療完了後も定期的にメインテナンスに通いましょう。
虫歯リスクの高い生活
糖分の多い食生活、間食、歯磨きの不足など虫歯リスクの高い生活を続けていると、虫歯の再発リスクが高くなります。一度虫歯になったら、その原因について歯科医院で教わり、生活習慣を改善していくことが大切です。
詰め物・被せ物とのあいだに
隙間ができる
特に保険のレジン、銀歯は、時間の経過と共に擦り減ったり溶け出したりして、隙間ができてしまうことが多くなります。定期的に歯科医院を受診し、必要に応じて作り替えなどが必要です。
虫歯の残存
そもそも一度目の治療で、虫歯を取り切れていないという可能性もゼロではありません。当院では、必要に応じてマイクロスコープを使用するなどして、虫歯部分の正確な削除に努めています。
万が一、再発した場合に
できること
歯磨き習慣を見直す・
定期的にメインテナンスに通う
毎日の歯磨き習慣を見直すためには、その方法を歯科医院で指導してもらいましょう。慣れによって少しずつ磨き方に偏りが出てくるため、定期的に指導を受けることが大切です。
また、メインテナンスのため定期的に歯科医院に通い、歯磨き指導、クリーニング、虫歯・歯周病チェックを受けましょう。
生活習慣を改善する
食事に関することを中心に、生活習慣を改善します。
糖分の多いものを摂り過ぎない、間食を控えるといったことが大切です。間食を摂る場合も、ダラダラと時間をかけないようにしてください。食べ物が口の中に長い時間あると、口内が酸性に傾く時間も長くなり、虫歯リスクが高くなります。もちろん、食後にすぐ歯を磨くことも大切です。
セラミックの詰め物・被せ物に
交換する
自費のセラミックは、保険のレジン・銀歯と比べて、プラークが付着しにくい性質を持っています。また、長期にわたってその形状が維持され、レジンのように短期間で擦り減りが進んだり、銀歯のように溶け出したりする心配がありません。『ただし、セラミックは割れやすいため、特に歯ぎしりがある方は、ナイトガードの作製をおすすめします。』セラミックはきちんと接着することによって非常に耐久性が高く、金属よりも壊れにくいと考えています。セラミックを入れたからナイトガードをお勧めすることはなくて、実際にこれまでセラミックが壊れたこともほとんどありません。
歯並びを改善する
歯並びが悪いと、食べかすが詰まりやすく、歯ブラシが届きにくいため、虫歯リスクが高くなります。丁寧に磨いても、メインテナンスに通っても虫歯を繰り返すという場合には、歯並びを改善する矯正治療がおすすめです。
食べ物が詰まりにくく、かつ磨きやすくなります。見た目の改善、歯周病予防、胃腸の負担軽減といった意味でも有効です。
症例
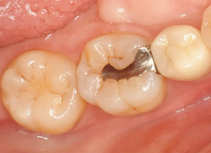
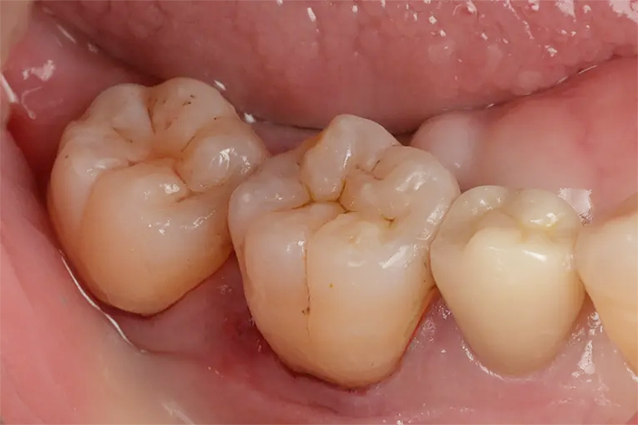
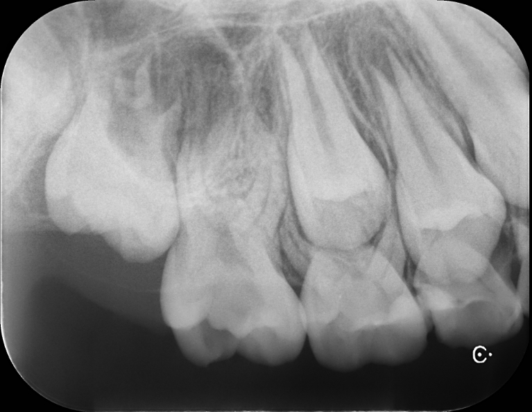
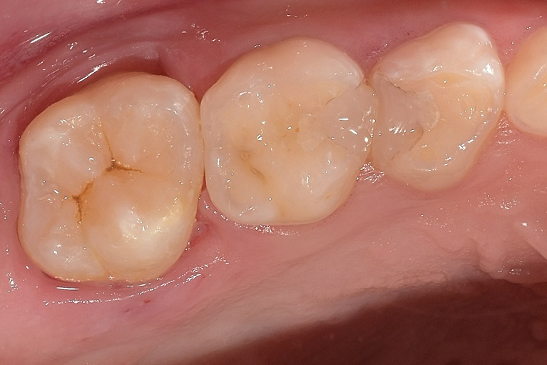
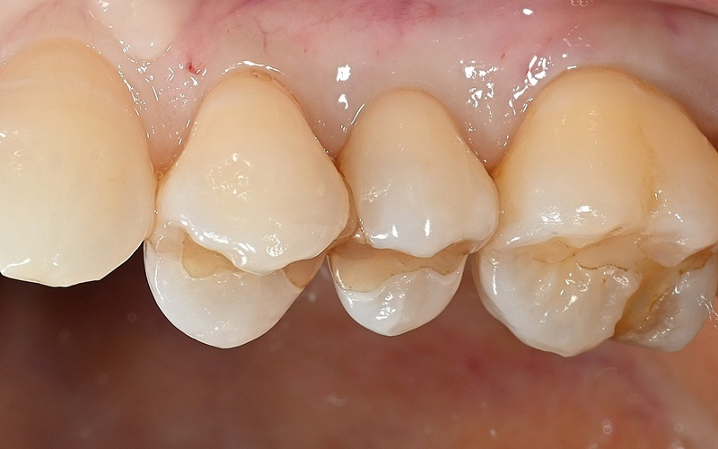
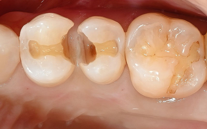
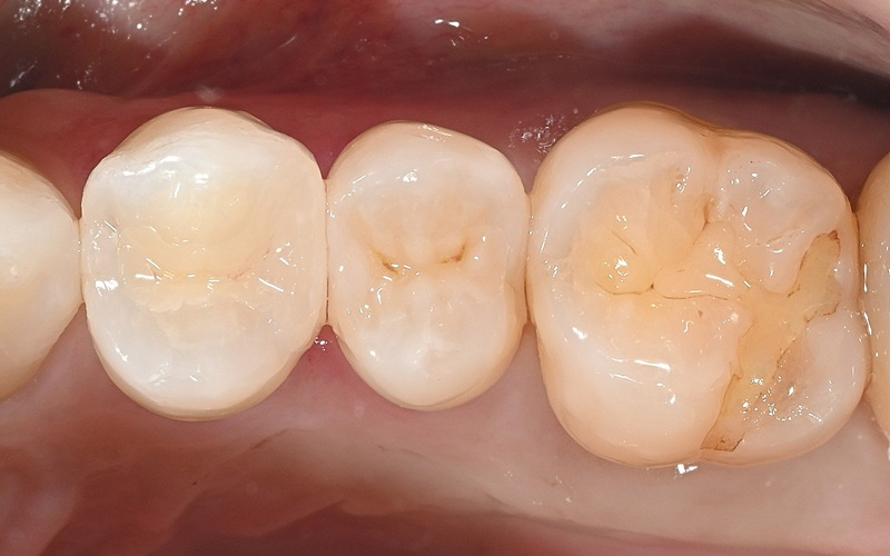
Case1
術前

ラバーダム防湿

術後


| 治療名 | ダイレクトボンディング |
|---|---|
| 治療説明 | 古い銀歯の下で虫歯が発生したため、ダイレクトボンディングを行いました。古い銀歯を除去し、ラバーダムを装着し、う蝕を除去してレジンを充填し、見た目と機能を回復しました。 |
| 治療回数・期間 | 1回 |
| 副作用とリスク | 知覚過敏症状が生じる恐れがあります。レジンが破折歯修復が必要となることがあります。 |
| 料金(税込) | 55,000円(自費) |
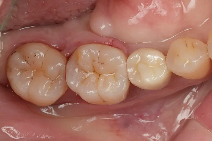
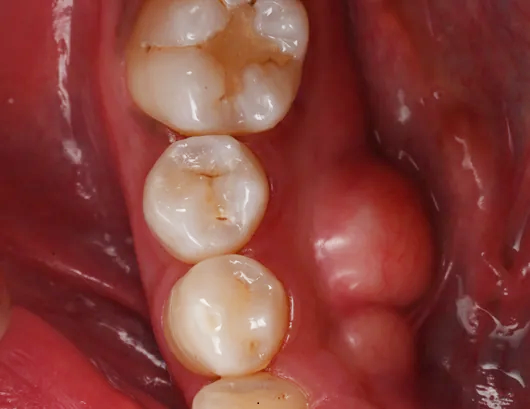
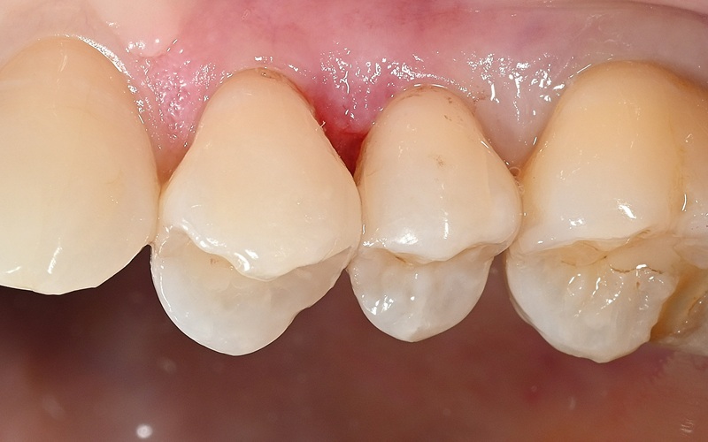
Case2
術前

ラバーダム防湿

術後

| 治療名 | ダイレクトボンディング |
|---|---|
| 治療説明 | 虫歯が発生したため、ダイレクトボンディングを行いました。ラバーダムを装着し、う蝕を除去してレジンを充填し、見た目と機能を回復しました。 |
| 治療回数・期間 | 1回 |
| 副作用とリスク | 知覚過敏症状が生じる恐れがあります。レジンが破折歯修復が必要となることがあります。 |
| 料金(税込) | 55,000円(自費) |
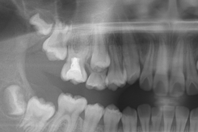
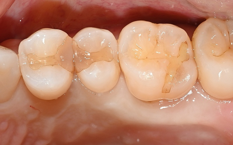
Case3
術前


ラバーダム防湿

正常歯髄をMTAセメントで保存

術後


| 治療名 | ダイレクトボンディング、MTAセメントを用いた歯髄保存 |
|---|---|
| 治療説明 | 歯髄に到達する大変大きな虫歯がありました。まだ若い患者であり、通常通り根管治療を行うと、歯質が薄くなり歯の寿命に大きく影響すると考えました。う蝕と感染の疑いがある歯髄を除去し,正常歯髄をMTAセメントを用いて保存した上で、ダイレクトボンディングにて歯の形を回復しました。 |
| 治療回数・期間 | 1回 |
| 副作用とリスク | 歯髄が感染し根管治療が必要となる可能性があります。レジンの着色、破折が起こり、研磨や再修復が必要となる可能性があります。 |
| 料金(税込) | MTAセメント:55,000円 ダイレクトボンディング:55,000円 |
Case4
術前


術中

術後


| 治療名 | ダイレクトボンディング・セラミックインレー |
|---|---|
| 治療説明 | 以前他院で行ったハイブリッドセラミックインレーが劣化したためセラミックインレーとダイレクトボンディングで再修復を行いました。 |
| 治療回数・期間 | 2回 |
| 副作用とリスク | 一時的に知覚過敏が生じることがあります。セラミックとレジンが破折し、再修復が必要になる可能性があります。 |
| 料金(税込) | セラミックインレー:77,000円 ダイレクトボンディング:55,000円 合計:132,000円 |



